提醒成功

搜索
Mouse Monoclonal Antibody to SH2B2
-
货号:
32372 -
别名:
APS -
应用:
IHC,FCM -
反应种属:
Human -
抗体类型:
Primary antibody -
Swissprot:
O14492 -
规格:
-
数量:
-+ -
说明书:
目录价¥2180

Mouse Monoclonal Antibody to SH2B2
Description |
---|
The protein encoded by this gene is expressed in B lymphocytes and contains pleckstrin homology and src homology 2 (SH2) domains. In Burkitt's lymphoma cell lines, it is tyrosine-phosphorylated in response to B cell receptor stimulation. Because it binds Shc independent of stimulation and Grb2 after stimulation, it appears to play a role in signal transduction from the receptor to the Shc/Grb2 pathway. |
References |
---|
1.Cancer Epidemiol Biomarkers Prev. 2002 Jul;11(7):664-9. 2.J Biol Chem. 2005 May 13;280(19):18943-9. |
Specification |
|
---|---|
Aliases | APS |
Entrez GeneID | 10603 |
Swissprot | O14492 |
clone | 5E11G7 |
WB Predicted band size | 67.7kDa |
Host/Isotype | Mouse IgG2b |
Antibody Type | Primary antibody |
Storage | Store at 4°C short term. Aliquot and store at -20°C long term. Avoid freeze/thaw cycles. |
Species Reactivity | Human |
Immunogen | Purified recombinant fragment of human SH2B2 (AA: 497-676) expressed in E. Coli. |
Formulation | Purified antibody in PBS with 0.05% sodium azide |
Application |
|
---|---|
IHC | 1/200 - 1/1000 |
FCM | 1/200 - 1/400 |
ELISA | 1/10000 |
Product Image
- Black line: Control Antigen (100 ng);Purple line: Antigen (10ng); Blue line: Antigen (50 ng); Red line:Antigen (100 ng)
- Flow cytometric analysis of HEK293 cells using SH2B2 mouse mAb (green) and negative control (red).
- Flow cytometric analysis of HepG2 cells using SH2B2 mouse mAb (green) and negative control (red).
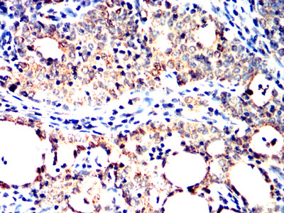
- Immunohistochemical analysis of paraffin-embedded human cervical cancer tissues using SH2B2 mouse mAb with DAB staining.
- Immunohistochemical analysis of paraffin-embedded human colon cancer tissues using SH2B2 mouse mAb with DAB staining.
For Reseach Only
Application Key:WB - Western Blot | IHC - Immunohistochemistry | ICC - Immunocytochemistry | FCM - Flow Cytometry | ELISA - Enzyme-linked Immunosorbent Assay | IP - Immunoprecipitation
#32372

相关产品


