提醒成功

Mouse Monoclonal Antibody to CD239
-
货号:
31624 -
别名:
BCAM; AU; LU; MSK19 -
应用:
IHC,FCM -
反应种属:
Human -
抗体类型:
Primary antibody -
Swissprot:
P50895 -
规格:
-
数量:
-+ -
说明书:
目录价¥2180

Mouse Monoclonal Antibody to CD239
Description |
---|
This gene encodes Lutheran blood group glycoprotein, a member of the immunoglobulin superfamily and a receptor for the extracellular matrix protein, laminin. The protein contains five extracellular immunoglobulin domains, a single transmembrane domain, and a short C-terminal cytoplasmic tail. This protein may play a role in epithelial cell cancer and in vaso-occlusion of red blood cells in sickle cell disease. Polymorphisms in this gene define some of the antigens in the Lutheran system and also the Auberger system. Inactivating variants of this gene result in the recessive Lutheran null phenotype, Lu(a-b-), of the Lutheran blood group. Two transcript variants encoding different isoforms have been found for this gene. |
References |
---|
1.J Biomed Sci. 2017 Aug 26;24(1):61. 2.Exp Cell Res. 2014 Oct 15;328(1):197-206. |
Specification |
|
---|---|
Aliases | BCAM; AU; LU; MSK19 |
Entrez GeneID | 67.4kDa |
Swissprot | P50895 |
clone | 5C5A6 |
WB Predicted band size | 67.4kDa |
Host/Isotype | Mouse IgG2a |
Antibody Type | Primary antibody |
Storage | Store at 4°C short term. Aliquot and store at -20°C long term. Avoid freeze/thaw cycles. |
Species Reactivity | Human |
Immunogen | Purified recombinant fragment of human CD239 (AA: extra 32-197) expressed in E. Coli. |
Formulation | Purified antibody in PBS with 0.05% sodium azide |
Application |
|
---|---|
IHC | 1/200 - 1/1000 |
FCM | 1/200 - 1/400 |
ELISA | 1/10000 |
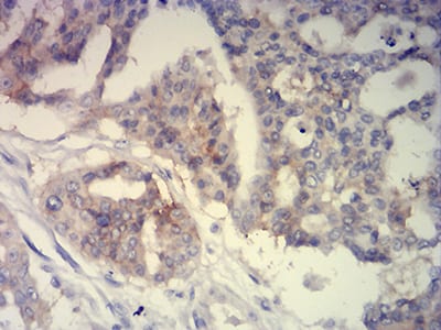
Product Image
- Black line: Control Antigen (100 ng);Purple line: Antigen (10ng); Blue line: Antigen (50 ng); Red line:Antigen (100 ng)
- Flow cytometric analysis of MOLT4 cells using CD239 mouse mAb (green) and negative control (red).
- Immunohistochemical analysis of paraffin-embedded human lung cancer tissues using CD239 mouse mAb with DAB staining.
- Immunohistochemical analysis of paraffin-embedded human ovarian cancer tissues using CD239 mouse mAb with DAB staining.
For Reseach Only
Application Key:WB - Western Blot | IHC - Immunohistochemistry | ICC - Immunocytochemistry | FCM - Flow Cytometry | ELISA - Enzyme-linked Immunosorbent Assay | IP - Immunoprecipitation
#31624

相关产品


