提醒成功

搜索
Mouse Monoclonal Antibody to EFHD1
-
货号:
P20430 -
别名:
EF-hand domain-containing protein D1; Mitocalcin; MGC103094; Swiprosin 2 -
应用:
WB,IHC,IF -
反应种属:
Human,Mouse,Rat -
抗体类型:
Primary antibody -
Swissprot:
Q9BUP0 -
规格:
-
数量:
-+ -
说明书:
目录价¥2180

Mouse Monoclonal Antibody to EFHD1
Description |
---|
Acts as a calcium sensor for mitochondrial flash (mitoflash) activation, an event characterized by stochastic bursts of superoxide production (PubMed:26975899). May play a role in neuronal differentiation . |
Specification |
|
---|---|
Aliases | EF-hand domain-containing protein D1; Mitocalcin; MGC103094; Swiprosin 2 |
Entrez GeneID | 80303 |
Swissprot | Q9BUP0 |
clone | 5C5 |
WB Predicted band size | Calculated MW: 27 kDa; Observed MW: 27 kDa |
Host/Isotype | Mouse IgG1 |
Antibody Type | Primary antibody |
Storage | Store at 4°C short term. Aliquot and store at -20°C long term. Avoid freeze/thaw cycles. |
Species Reactivity | Human,Mouse,Rat |
Immunogen | Synthetic Peptide of EFHD1 |
Formulation | Purified antibody in PBS with 0.05% sodium azide,0.5%BSA and 50% glycerol. |
Application |
|
---|---|
WB | 1/500-1/1000 |
IHC | 1/50-1/100 |
IF/ICC | 1/50-1/200 |
Product Image
- Western blot analysis of EFHD1 in mouse spleen, rat spleen tissue lysates using EFHD1 antibody.
- Immunofluorescence analysis of EFHD1 in mouse lung using EFHD1 antibody(3G2)(red),and DAPI (blue).
- Immunofluorescence analysis of EFHD1 in Hela using EFHD1 antibody(Left) and DAPI (Right).
- Immunohistochemistry analysis of paraffin-embedded Human uterus tissue using EFHD1 antibody.High-pressure and temperature Sodium Citrate pH 6.0 was used for antigen retrieval.Negative control was used by secondary antibody only.
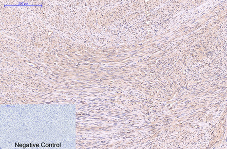
- Immunohistochemistry analysis of paraffin-embedded Human tonsils using EFHD1 antibody.High-pressure and temperature Sodium Citrate pH 6.0 was used for antigen retrieval.Negative control was used by secondary antibody only.
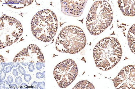
- Immunohistochemistry analysis of paraffin-embedded mouse testis tissue using EFHD1 antibody. High-pressure and temperature Sodium Citrate pH 6.0 was used for antigen retrieval. Negative control was used by secondary antibody only.
For Reseach Only
Application Key:WB - Western Blot | IHC - Immunohistochemistry | ICC - Immunocytochemistry | FCM - Flow Cytometry | ELISA - Enzyme-linked Immunosorbent Assay | IP - Immunoprecipitation
#P20430

相关产品


