提醒成功

搜索
Mouse Monoclonal Antibody to Cytokeratin 6
-
货号:
P20427 -
别名:
CK 6A; CK 6B; CK 6C; CK 6D; CK 6E; CK-6C; CK-6E; K6a keratin; K6b keratin; K6C; K6c keratin; K6d keratin; K6e keratin; Keratin; KRT6A; KRT6B; KRT6C; KRT6D; KRT6E -
应用:
WB,IHC,IF -
反应种属:
Human -
抗体类型:
Primary antibody -
Swissprot:
P02538/P04259/P48668 -
规格:
-
数量:
-+ -
说明书:
目录价¥2180

Mouse Monoclonal Antibody to Cytokeratin 6
Description |
---|
There are at least six isoforms of human type II keratin-6 (K6). There are two types of cytoskeletal and microfibrillar keratin, I (acidic) and II (neutral to basic) (40-55 and 56-70 kDa, respectively). |
Specification |
|
---|---|
Aliases | CK 6A; CK 6B; CK 6C; CK 6D; CK 6E; CK-6C; CK-6E; K6a keratin; K6b keratin; K6C; K6c keratin; K6d keratin; K6e keratin; Keratin; KRT6A; KRT6B; KRT6C; KRT6D; KRT6E |
Entrez GeneID | 3853/3854/286887 |
Swissprot | P02538/P04259/P48668 |
clone | 1C5 |
WB Predicted band size | Calculated MW: 60 kDa; Observed MW: 56-60 kDa |
Host/Isotype | Mouse IgG1 |
Antibody Type | Primary antibody |
Storage | Store at 4°C short term. Aliquot and store at -20°C long term. Avoid freeze/thaw cycles. |
Species Reactivity | Human |
Immunogen | Synthetic Peptide of Cytokeratin 6 |
Formulation | Purified antibody in PBS with 0.05% sodium azide,0.5%BSA and 50% glycerol. |
Application |
|
---|---|
WB | 1/500-1/1000 |
IHC | 1/50-1/100 |
IF/ICC | 1/50-1/200 |
Product Image
- Western blot analysis of Cytokeratin 6 in Hela, C6, 3T3, K562, HepG2 lysates using Cytokeratin 6 antibody
- Immunofluorescence analysis of Cytokeratin 6 in Human breastcancer tissue using Cytokeratin 6 antibody(red),and DAPI (blue).
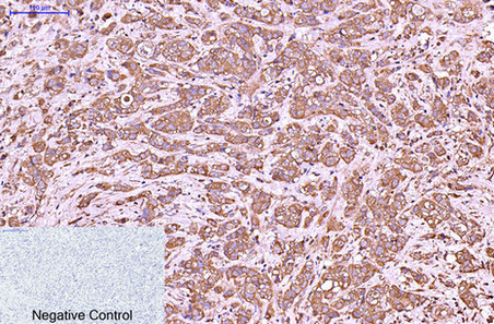
- Immunohistochemistry analysis of paraffin-embedded Human breastcancer tissue using Cytokeratin 6 antibody.High-pressure and temperature Sodium Citrate pH 6.0 was used for antigen retrieval.Negative control was used by secondary antibody only.
For Reseach Only
Application Key:WB - Western Blot | IHC - Immunohistochemistry | ICC - Immunocytochemistry | FCM - Flow Cytometry | ELISA - Enzyme-linked Immunosorbent Assay | IP - Immunoprecipitation
#P20427

相关产品


