提醒成功

搜索
Mouse Monoclonal Antibody to CD15
-
货号:
P20378 -
别名:
FUT4; ELFT; FCT3A; Alpha-(1; 3)-fucosyltransferase; ELAM-1 ligand fucosyltransferase; Fucosyltransferase 4; Fucosyltransferase IV; Fuc-TIV; FucT-IV; Galactoside 3-L-fucosyltransferase -
应用:
IHC,IF -
反应种属:
Human -
抗体类型:
Primary antibody -
Swissprot:
P22083 -
规格:
-
数量:
-+ -
说明书:
目录价¥2180

Mouse Monoclonal Antibody to CD15
Description |
---|
The product of this gene transfers fucose to N-acetyllactosamine polysaccharides to generate fucosylated carbohydrate structures. It catalyzes the synthesis of the non-sialylated antigen, Lewis x (CD15). |
Specification |
|
---|---|
Aliases | FUT4; ELFT; FCT3A; Alpha-(1; 3)-fucosyltransferase; ELAM-1 ligand fucosyltransferase; Fucosyltransferase 4; Fucosyltransferase IV; Fuc-TIV; FucT-IV; Galactoside 3-L-fucosyltransferase |
Entrez GeneID | 2526 |
Swissprot | P22083 |
clone | 8D5 |
Host/Isotype | Mouse IgG1 |
Antibody Type | Primary antibody |
Storage | Store at 4°C short term. Aliquot and store at -20°C long term. Avoid freeze/thaw cycles. |
Species Reactivity | Human |
Immunogen | Synthetic Peptide of CD15 |
Formulation | Purified antibody in PBS with 0.05% sodium azide,0.5%BSA and 50% glycerol. |
Application |
|
---|---|
IHC | 1/50-1/100 |
IF/ICC | 1/50-1/200 |
Product Image
- Immunofluorescence analysis of CD15 in Human livercancer tissue using CD15 antibody(red),and DAPI (blue).
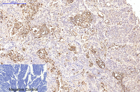
- Immunohistochemistry analysis of paraffin-embedded Human lung cancer tissue using CD15 antibody.High-pressure and temperature Sodium Citrate pH 6.0 was used for antigen retrieval.Negative control was used by secondary antibody only.
- Immunohistochemistry analysis of paraffin-embedded rat Brain Tissue using CD 15 antibody. High-pressure and temperature Sodium Citrate pH 6.0 was used for antigen retrieval.
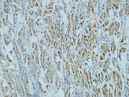
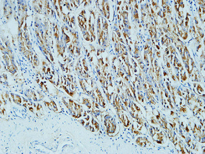
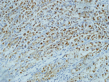
- Immunohistochemistry analysis of paraffin-embedded Human stomach using CD15 antibody.High-pressure and temperature Tris-EDTA pH 8.0 was used for antigen retrieval.
- Immunohistochemistry analysis of paraffin-embedded Human stomach using CD15 antibody.High-pressure and temperature Tris-EDTA pH 8.0 was used for antigen retrieval.
- Immunohistochemistry analysis of paraffin-embedded Human stomach using CD15 antibody.High-pressure and temperature Tris-EDTA pH 8.0 was used for antigen retrieval.
For Reseach Only
Application Key:WB - Western Blot | IHC - Immunohistochemistry | ICC - Immunocytochemistry | FCM - Flow Cytometry | ELISA - Enzyme-linked Immunosorbent Assay | IP - Immunoprecipitation
#P20378

相关产品


