提醒成功

搜索
Mouse Monoclonal Antibody to CD21
-
货号:
P20376 -
别名:
CR2; C3DR; Complement receptor type 2; Cr2; Complement C3d receptor; Epstein-Barr virus receptor; EBV receptor; CD21 -
应用:
IHC,IF -
反应种属:
Human,Mouse,Rat -
抗体类型:
Primary antibody -
Swissprot:
P20023 -
规格:
-
数量:
-+ -
说明书:
目录价¥2180

Mouse Monoclonal Antibody to CD21
Description |
---|
Receptor for complement C3Dd, for the Epstein-Barr virus on human B-cells and T-cells and for HNRPU. Participates in B lymphocytes activation. (Microbial infection) Acts as a receptor for Epstein-Barr virus. |
Specification |
|
---|---|
Aliases | CR2; C3DR; Complement receptor type 2; Cr2; Complement C3d receptor; Epstein-Barr virus receptor; EBV receptor; CD21 |
Entrez GeneID | 1380 |
Swissprot | P20023 |
clone | 4A2 |
Host/Isotype | Mouse IgG1 |
Antibody Type | Primary antibody |
Storage | Store at 4°C short term. Aliquot and store at -20°C long term. Avoid freeze/thaw cycles. |
Species Reactivity | Human,Mouse,Rat |
Immunogen | Synthetic Peptide of CD21 |
Formulation | Purified antibody in PBS with 0.05% sodium azide,0.5%BSA and 50% glycerol. |
Application |
|
---|---|
IHC | 1/50-1/100 |
IF/ICC | 1/50-1/200 |
Product Image
- Immunofluorescence analysis of CD21 in mouse liver tissue using CD21 antibody(2C5)(red),and DAPI (blue).
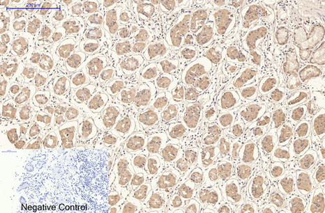
- Immunohistochemistry analysis of paraffin-embedded Human stomach tissue using CD21 antibody.High-pressure and temperature Sodium Citrate pH 6.0 was used for antigen retrieval.Negative control was used by secondary antibody only.
- Immunohistochemical analysis of paraffin-embedded Human tonsils using CD21 antibody.High-pressure and temperature Sodium Citrate pH 6.0 was used for antigen retrieval.Negative control was used by secondary antibody only.
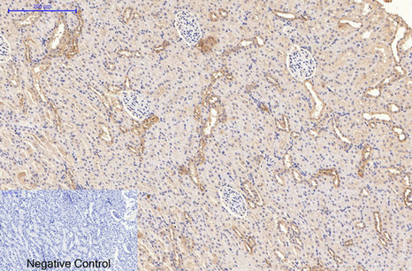
- Immunohistochemistry analysis of paraffin-embedded mouse kidney tissue using CD21 antibody. High-pressure and temperature Sodium Citrate pH 6.0 was used for antigen retrieval. Negative control was used by secondary antibody only.
- Immunohistochemistry analysis of paraffin-embedded Human tonsil tissue using CD21 antibody.High-pressure and temperature Sodium Citrate pH 6.0 was used for antigen retrieval.
For Reseach Only
Application Key:WB - Western Blot | IHC - Immunohistochemistry | ICC - Immunocytochemistry | FCM - Flow Cytometry | ELISA - Enzyme-linked Immunosorbent Assay | IP - Immunoprecipitation
#P20376

相关产品


