提醒成功
搜索
Rabbit Polyclonal Antibody to Phospho-p53 (Ser15)
-
货号:
P20276 -
别名:
TP53; P53; Cellular tumor antigen p53; Antigen NY-CO-13; Phosphoprotein p53; Tumor suppressor p53 -
应用:
WB,IP,IHC,IF -
反应种属:
Human,Rat -
抗体类型:
Primary antibody -
Swissprot:
P04637 -
规格:
-
数量:
-+ -
说明书:
目录价¥1980
Rabbit Polyclonal Antibody to Phospho-p53 (Ser15)
Description |
|---|
Tumor protein p53, a nuclear protein, plays an essential role in the regulation of cell cycle, specifically in the transition from G0 to G1. It is found in very low levels in normal cells, however, in a variety of transformed cell lines, it is expressed in high amounts, and believed to contribute to transformation and malignancy. p53 is a DNA-binding protein containing DNA-binding, oligomerization and transcription activation domains. |
Specification |
|
|---|---|
| Aliases | TP53; P53; Cellular tumor antigen p53; Antigen NY-CO-13; Phosphoprotein p53; Tumor suppressor p53 |
| Entrez GeneID | 7157 |
| Swissprot | P04637 |
| WB Predicted band size | Calculated MW: 44 kDa; Observed MW: 48 kDa |
| Host/Isotype | Rabbit IgG |
| Antibody Type | Primary antibody |
| Storage | Store at 4°C short term. Aliquot and store at -20°C long term. Avoid freeze/thaw cycles. |
| Species Reactivity | Human,Rat |
| Immunogen | The antiserum was produced against synthesized peptide derived from human p53 around the phosphorylation site of Ser15. AA range:1-50 |
| Formulation | Purified antibody in PBS with 0.05% sodium azide,0.5%BSA and 50% glycerol. |
Application |
|
|---|---|
| WB | 1/500-1/1000 |
| IP | 1/10-1/20 |
| IHC | 1/50-1/100 |
| IF/ICC | 1/50-1/200 |
| ELISA | 1/10000 |
Product Image
- Western blot analysis of Phospho-p53 (Ser15) in HeLa treated with HU lysates using Phospho-p53 (Ser15) antibody.The lane on the right is blocked with the Phospho- peptide.
- Western blot analysis of Phospho-p53 (Ser15) in untreated and Phospho-p53 (Ser15) treated with HU in 293T lysates using Phospho-p53 (Ser15) antibody
- Immunofluorescence analysis of Phospho-p53 (Ser15) in rat spleen tissue using antibody.
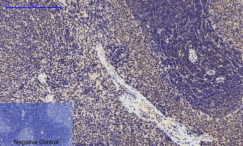
- Immunohistochemistry analysis of paraffin-embedded rat spleen tissue using Phospho-p53 (Ser15) antibody.High-pressure and temperature Sodium Citrate pH 6.0 was used for antigen retrieval.
For Reseach Only
Application Key:WB - Western Blot | IHC - Immunohistochemistry | ICC - Immunocytochemistry | FCM - Flow Cytometry | ELISA - Enzyme-linked Immunosorbent Assay | IP - Immunoprecipitation
#P20276
相关产品

微信/QQ登录


首页
