提醒成功

搜索
Rabbit Monoclonal Antibody to Phospho-PKC (Ser660)
-
货号:
P20227 -
别名:
PRKCA; PKCA; PRKACA; Protein kinase C alpha type; PKC-A; PKC-alpha -
应用:
WB,IHC -
反应种属:
Human,Rat -
抗体类型:
Primary antibody -
Swissprot:
P17252/P05771/Q05655/Q02156/P24723/Q04759 -
规格:
-
数量:
-+ -
说明书:
目录价¥2180

Rabbit Monoclonal Antibody to Phospho-PKC (Ser660)
Description |
---|
PKC alpha is an AGC kinase of the PKC family. A classical PKC downstream of many mitogenic and receptors. Classical PKCs are calcium-dependent enzymes that are activated by phosphatidylserine, diacylglycerol and phorbol esters. |
Specification |
|
---|---|
Aliases | PRKCA; PKCA; PRKACA; Protein kinase C alpha type; PKC-A; PKC-alpha |
Entrez GeneID | 5578/5579/5580/5581/5583/5588 |
Swissprot | P17252/P05771/Q05655/Q02156/P24723/Q04759 |
WB Predicted band size | Calculated MW: 77 kDa; Observed MW: 78-85 kDa |
Host/Isotype | Rabbit IgG |
Antibody Type | Primary antibody |
Storage | Store at 4°C short term. Aliquot and store at -20°C long term. Avoid freeze/thaw cycles. |
Species Reactivity | Human,Rat |
Immunogen | A synthetic phosphopeptide corresponding to residues surrounding Ser660 of human PKC |
Formulation | Purified antibody in TBS with 0.05% sodium azide,0.05%BSA and 50% glycerol. |
Application |
|
---|---|
WB | 1/500-1/1000 |
IHC | 1/50-1/100 |
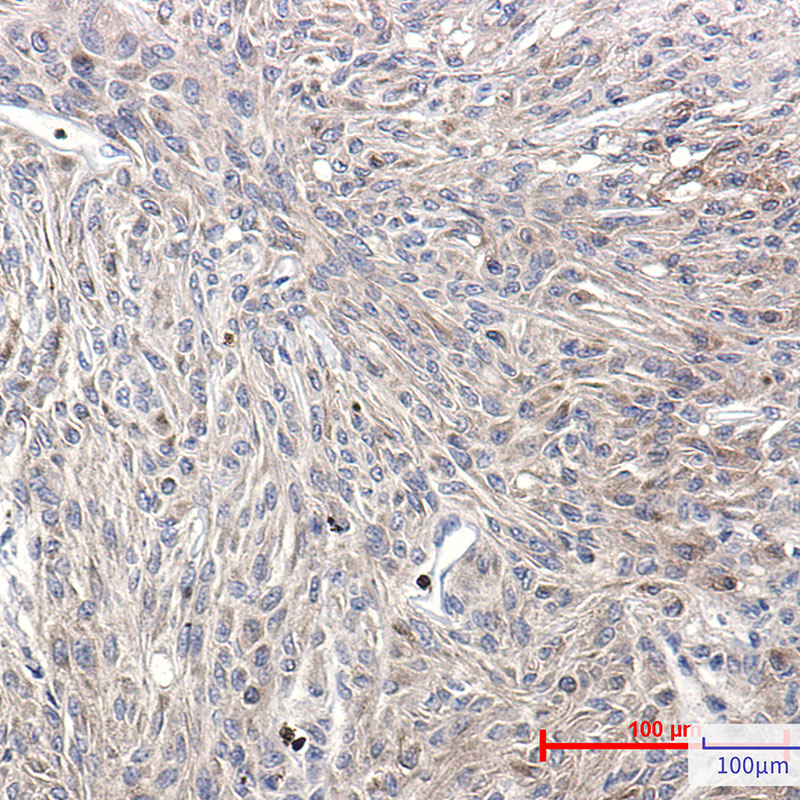
Product Image
- Western blot analysis of PKC (Phospho-Ser660) in Hela, A549, HL-60, U2OS, C6 lysates using Phospho-PKC (Ser660) antibody.
- Immunohistochemistry analysis of paraffin-embedded Human Brain using PKC (Phospho-Ser660) antibody.High-pressure and temperature Sodium Citrate pH 6.0 was used for antigen retrieval.
For Reseach Only
Application Key:WB - Western Blot | IHC - Immunohistochemistry | ICC - Immunocytochemistry | FCM - Flow Cytometry | ELISA - Enzyme-linked Immunosorbent Assay | IP - Immunoprecipitation
#P20227

相关产品


