提醒成功

搜索
Rabbit Monoclonal Antibody to Phospho-Histone H3 (Ser10/Thr11)
-
货号:
P20210 -
别名:
H3 histone; family 3A; H3 histone; family 3B (H3.3B); H3.3A; H3.3B; H33; H3F3; H3F3A; H3F3B; Histone H3.3 -
应用:
WB,IP,IHC,IF -
反应种属:
Human,Mouse,Rat -
抗体类型:
Primary antibody -
Swissprot:
P68431 -
规格:
-
数量:
-+ -
说明书:
目录价¥2180

Rabbit Monoclonal Antibody to Phospho-Histone H3 (Ser10/Thr11)
Description |
---|
H3 Core component of nucleosome. Nucleosomes wrap and compact DNA into chromatin, limiting DNA accessibility to the cellular machineries which require DNA as a template. Histones thereby play a central role in transcription regulation, DNA repair, DNA replication and chromosomal stability. |
Specification |
|
---|---|
Aliases | H3 histone; family 3A; H3 histone; family 3B (H3.3B); H3.3A; H3.3B; H33; H3F3; H3F3A; H3F3B; Histone H3.3 |
Entrez GeneID | 8350 |
Swissprot | P68431 |
WB Predicted band size | Calculated MW: 15 kDa; Observed MW: 15 kDa |
Host/Isotype | Rabbit IgG |
Antibody Type | Primary antibody |
Storage | Store at 4°C short term. Aliquot and store at -20°C long term. Avoid freeze/thaw cycles. |
Species Reactivity | Human,Mouse,Rat |
Immunogen | A synthetic phosphopeptide corresponding to residues surrounding Ser10/Thr11 of human Histone H3 |
Formulation | Purified antibody in TBS with 0.05% sodium azide,0.05%BSA and 50% glycerol. |
Application |
|
---|---|
WB | 1/500-1/1000 |
IP | 1/10-1/20 |
IHC | 1/50-1/100 |
IF/ICC | 1/50-1/200 |
Product Image
- Western blot analysis of Phospho-Histone H3 (Ser10/Thr11) in 3T3 lysates using Phospho-Histone H3 (Ser10/Thr11)antibody.
- Western blot analysis of Histone H3 (Phospho-Ser10/Thr11) in Hela, A549, HL-60, C6 lysates using Histone H3 (Phospho-Ser10/Thr11) antibody
- Immunocytochemistry analysis of Phospho-Histone H3 (Ser10/Thr11) (green) in Hela using Phospho-Histone H3 (Ser10/Thr11) antibody,and DAPI(blue).
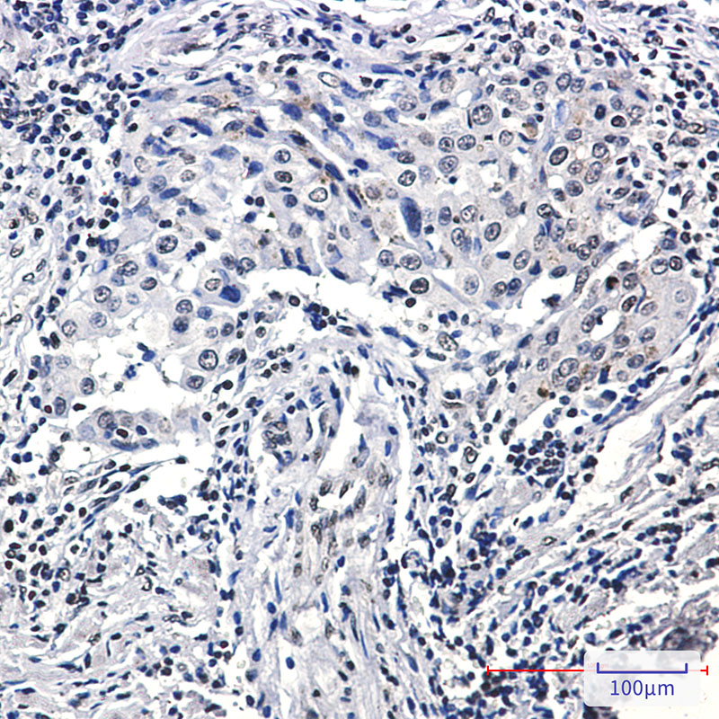
- Immunohistochemistry analysis of paraffin-embedded Human lung cancer using Histone H3 (Phospho-Ser10/Thr11) antibody.High-pressure and temperature Sodium Citrate pH 6.0 was used for antigen retrieval.
For Reseach Only
Application Key:WB - Western Blot | IHC - Immunohistochemistry | ICC - Immunocytochemistry | FCM - Flow Cytometry | ELISA - Enzyme-linked Immunosorbent Assay | IP - Immunoprecipitation
#P20210

相关产品


