提醒成功

搜索
Rabbit Monoclonal Antibody to Phospho-PTS (Ser19)
-
货号:
P20197 -
别名:
PTPS -
应用:
WB,IP,IHC -
反应种属:
Human -
抗体类型:
Primary antibody -
Swissprot:
Q03393 -
规格:
-
数量:
-+ -
说明书:
目录价¥2180

Rabbit Monoclonal Antibody to Phospho-PTS (Ser19)
Description |
---|
Involved in the biosynthesis of tetrahydrobiopterin, an essential cofactor of aromatic amino acid hydroxylases. |
Specification |
|
---|---|
Aliases | PTPS |
Entrez GeneID | 5805 |
Swissprot | Q03393 |
WB Predicted band size | Calculated MW: 16 kDa; Observed MW: 16 kDa |
Host/Isotype | Rabbit IgG |
Antibody Type | Primary antibody |
Storage | Store at 4°C short term. Aliquot and store at -20°C long term. Avoid freeze/thaw cycles. |
Species Reactivity | Human |
Immunogen | A synthetic phosphopeptide corresponding to residues surrounding Ser19 of human PTS/PTPS |
Formulation | Purified antibody in TBS with 0.05% sodium azide,0.05%BSA and 50% glycerol. |
Application |
|
---|---|
WB | 1/500-1/1000 |
IP | 1/10-1/20 |
IHC | 1/50-1/100 |
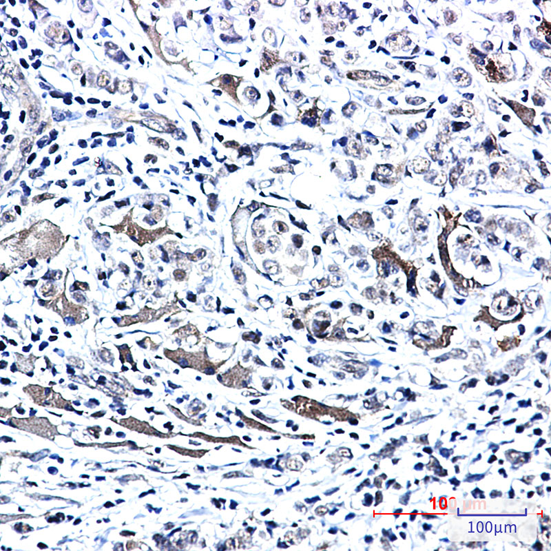
Product Image
- Western blot analysis of PTS/PTPS (Phospho-Ser19) in A549, HL-60 lysates using Phospho-PTS (Ser19) antibody.
- Immunohistochemistry analysis of paraffin-embedded Human breast cancer using Phospho-PTS/PTPS (Ser19) antibody.High-pressure and temperature Sodium Citrate pH 6.0 was used for antigen retrieval.
For Reseach Only
Application Key:WB - Western Blot | IHC - Immunohistochemistry | ICC - Immunocytochemistry | FCM - Flow Cytometry | ELISA - Enzyme-linked Immunosorbent Assay | IP - Immunoprecipitation
#P20197

相关产品


