提醒成功

搜索
Rabbit Monoclonal Antibody to Phospho-Glucocorticoid Receptor (Ser226)
-
货号:
P20179 -
别名:
NR3C1; GRL; Glucocorticoid receptor; GR; Nuclear receptor subfamily 3 group C member 1 -
应用:
WB,IHC -
反应种属:
Human,Rat -
抗体类型:
Primary antibody -
Swissprot:
P04150 -
规格:
-
数量:
-+ -
说明书:
目录价¥2180

Rabbit Monoclonal Antibody to Phospho-Glucocorticoid Receptor (Ser226)
Description |
---|
The protein encoded by this gene is a receptor for glucocorticoids and can act as both a transcription factor and a regulator of other transcription factors. The encoded protein can bind DNA as a homodimer or as a heterodimer with another protein such as the retinoid X receptor. This protein can also be found in heteromeric cytoplasmic complexes along with heat shock factors and immunophilins. |
Specification |
|
---|---|
Aliases | NR3C1; GRL; Glucocorticoid receptor; GR; Nuclear receptor subfamily 3 group C member 1 |
Entrez GeneID | 2908 |
Swissprot | P04150 |
WB Predicted band size | Calculated MW: 86 kDa; Observed MW: 94 kDa |
Host/Isotype | Rabbit IgG |
Antibody Type | Primary antibody |
Storage | Store at 4°C short term. Aliquot and store at -20°C long term. Avoid freeze/thaw cycles. |
Species Reactivity | Human,Rat |
Immunogen | A synthetic phosphopeptide corresponding to residues surrounding Ser226 of human Glucocorticoid Receptor |
Formulation | Purified antibody in TBS with 0.05% sodium azide,0.05%BSA and 50% glycerol. |
Application |
|
---|---|
WB | 1/500-1/1000 |
IHC | 1/50-1/100 |
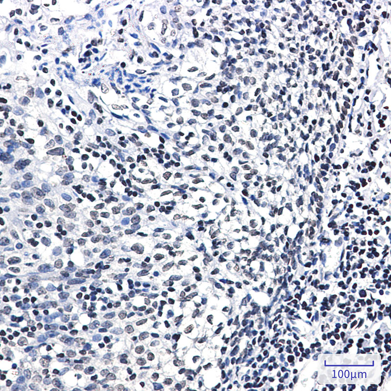
Product Image
- Western blot analysis of Phospho-Glucocorticoid Receptor (Ser226) in Hela, A549, C6 lysates using Phospho-Glucocorticoid Receptor (Ser226) antibody.
- Immunohistochemistry analysis of paraffin-embedded Human tonsil using Glucocorticoid Receptor (Phospho-Ser226) antibody.High-pressure and temperature Sodium Citrate pH 6.0 was used for antigen retrieval.
For Reseach Only
Application Key:WB - Western Blot | IHC - Immunohistochemistry | ICC - Immunocytochemistry | FCM - Flow Cytometry | ELISA - Enzyme-linked Immunosorbent Assay | IP - Immunoprecipitation
#P20179

相关产品


