提醒成功

搜索
Mouse Monoclonal Antibody to Calreticulin
-
货号:
20181 -
别名:
RO; CRT; SSA; cC1qR; FLJ26680; CALR -
应用:
WB,IHC,IF,FCM -
反应种属:
Human,Mouse,Rat,Rabbit -
抗体类型:
Primary antibody -
Swissprot:
P27797 -
规格:
-
数量:
-+ -
说明书:
目录价¥2180

Mouse Monoclonal Antibody to Calreticulin
Description |
---|
Calreticulin, also known as RO, CRT, SSA, cC1qR, FLJ26680, CALR. Entrez Protein NP_004334. It is a multifunctional protein that acts as a major Ca(2+)-binding (storage) protein in the lumen of the endoplasmic reticulum. It is also found in the nucleus, suggesting that it may have a role in transcription regulation. Calreticulin binds to the synthetic peptide KLGFFKR, which is almost identical to an amino acid sequence in the DNA-binding domain of the superfamily of nuclear receptors. Calreticulin binds to antibodies in certain sera of systemic lupus and Sjogren patients which contain anti-Ro/SSA antibodies, it is highly conserved among species, and it is located in the endoplasmic and sarcoplasmic reticulum where it may bind calcium. The amino terminus of calreticulin interacts with the DNA-binding domain of the glucocorticoid receptor and prevents the receptor from binding to its specific glucocorticoid response element. Calreticulin can inhibit the binding of androgen receptor to its hormone-responsive DNA element and can inhibit androgen receptor and retinoic acid receptor transcriptional activities in vivo, as well as retinoic acid-induced neuronal differentiation. Thus, calreticulin can act as an important modulator of the regulation of gene transcription by nuclear hormone receptors. Systemic lupus erythematosus is associated with increased autoantibody titers against calreticulin but calreticulin is not a Ro/SS-A antigen. Earlier papers referred to calreticulin as an Ro/SS-A antigen but this was later disproven. Increased autoantibody titer against human calreticulin is found in infants with complete congenital heart block of both the IgG and IgM classes. |
References |
---|
1. J Biol Chem. 2006 May 5;281(18):12841-8. Epub 2006 Mar 9. 2. Biochim Biophys Acta. 2006 May;1760(5):745-53. Epub 2006 Feb 28. |
Specification |
|
---|---|
Aliases | RO; CRT; SSA; cC1qR; FLJ26680; CALR |
Entrez GeneID | 811 |
Swissprot | P27797 |
clone | 1G6A7 |
WB Predicted band size | 48kDa |
Host/Isotype | Mouse IgG2a |
Antibody Type | Primary antibody |
Storage | Store at 4°C short term. Aliquot and store at -20°C long term. Avoid freeze/thaw cycles. |
Species Reactivity | Human,Mouse,Rat,Rabbit |
Immunogen | Synthetic peptide corresponding to aa (EEEDVPGQAKDELC) of human Calreticulin, conjugated to KLH. |
Formulation | Ascitic fluid containing 0.03% sodium azide. |
Application |
|
---|---|
WB | 1/500 - 1/2000 |
IHC | 1/100 - 1/500 |
IF/ICC | 1/50 - 1/500 |
FCM | 1/200 - 1/400 |
ELISA | 1/10000 |
Product Image
- Western blot analysis using Calreticulin mouse mAb against Hela (1), A549 (2), NTERA2 (3) and MCF-7 (4) cell lysate.
- Western blot analysis using Calreticulin mouse mAb against Hela(1) MCF-7(2) cell lysate.
- Confocal Immunofluorescence analysis of 3T3-L1 cells using Calreticulin mouse mAb(green). Blue: DRAQ5 fluorescent DNA dye.
- Confocal Immunofluorescence analysis of SKBR-3 (left) and A549 (right) cells using Calreticulin mouse mAb (green). Red: Actin filaments have been labeled with DY-554 phalloidin. Blue: DRAQ5 fluorescent DNA dye.
- Immunofluorescence analysis of COS7 cells using Calreticulin mouse mAb (green). Blue: DRAQ5 fluorescent DNA dye. Red: Actin filaments have been labeled with Alexa Fluor- 555 phalloidin.
- Immunofluorescence analysis of NIH/3T3 cells using Calreticulin mouse mAb (green). Blue: DRAQ5 fluorescent DNA dye. Red: Actin filaments have been labeled with Alexa Fluor- 555 phalloidin.
- Flow cytometric analysis of C6 cells using Calreticulin mouse mAb (green) and negative control (red).
- Flow cytometric analysis of NIH/3T3 cells using Calreticulin mouse mAb (green) and negative control (red).
- Flow cytometric analysis of COS7 cells using Calreticulin mouse mAb (green) and negative control (red).
- Immunohistochemical analysis of paraffin-embedded human placenta tissues using Calreticulin mouse mAb.
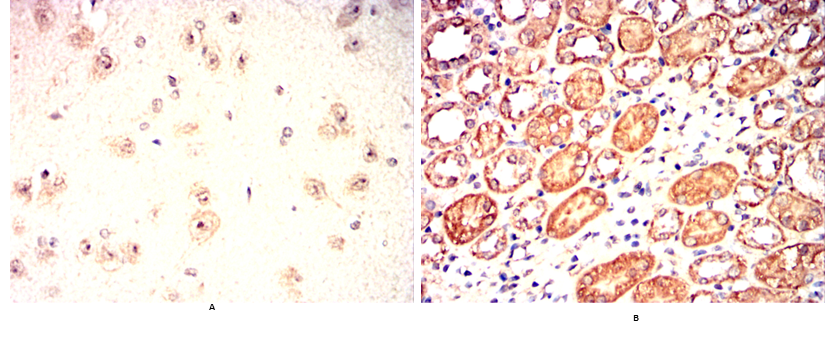
- Immunohistochemical analysis of paraffin-embedded Mouse brain(A) Mouse kidney(B) using Calreticulin mouse mAb with DAB staining.
- Immunohistochemical analysis of paraffin-embedded Rat brain(A) Rat kidney(B) using Calreticulin mouse mAb with DAB staining.
- Immunohistochemical analysis of paraffin-embedded Rabbit brain(A) Rabbit kidney(B) using Calreticulin mouse mAb with DAB staining.
For Reseach Only
Application Key:WB - Western Blot | IHC - Immunohistochemistry | ICC - Immunocytochemistry | FCM - Flow Cytometry | ELISA - Enzyme-linked Immunosorbent Assay | IP - Immunoprecipitation
#20181

相关产品


