提醒成功
搜索
Rabbit Monoclonal Antibody to Phospho-eIF4B (Ser406)
-
货号:
P20173 -
别名:
EIF-4B; PRO1843 -
应用:
WB,IHC -
反应种属:
Human,Mouse,Rat -
抗体类型:
Primary antibody -
Swissprot:
P23588 -
规格:
-
数量:
-+ -
说明书:
目录价¥2180
Rabbit Monoclonal Antibody to Phospho-eIF4B (Ser406)
Description |
|---|
The eukaryotic translation initiation factor 4B (eIF4B) plays a critical role in recruiting the 40S ribosomal subunit to the mRNA.It functions in close association with eIF4F and eIF4A. It binds near the 5'-terminal cap of mRNA in the presence of eIF4F and ATP. It promotes the ATPase activity and the ATP-dependent RNA unwinding activity of both eIF4A and eIF4F |
Specification |
|
|---|---|
| Aliases | EIF-4B; PRO1843 |
| Entrez GeneID | 1975 |
| Swissprot | P23588 |
| WB Predicted band size | Calculated MW: 69 kDa; Observed MW: 80 kDa |
| Host/Isotype | Rabbit IgG |
| Antibody Type | Primary antibody |
| Storage | Store at 4°C short term. Aliquot and store at -20°C long term. Avoid freeze/thaw cycles. |
| Species Reactivity | Human,Mouse,Rat |
| Immunogen | A synthetic phosphopeptide corresponding to residues surrounding Ser406 of human eIF4B |
| Formulation | Purified antibody in TBS with 0.05% sodium azide,0.05%BSA and 50% glycerol. |
Application |
|
|---|---|
| WB | 1/500-1/1000 |
| IHC | 1/50-1/100 |
Product Image
- Western blot analysis of Phospho-eIF4B (Ser406) in mouse heart lysates using Phospho-eIF4B (Ser406) antibody.
- Western blot analysis of eIF4B (Phospho-Ser406) in A549, HL-60, U2OS, C6 lysates using eIF4B (Phospho-Ser406) antibody.
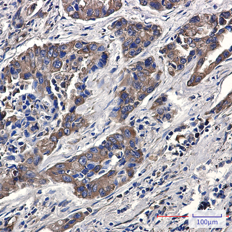
- Immunohistochemistry analysis of paraffin-embedded Human lung cancer using eIF4B (Phospho-Ser406) antibody. High-pressure and temperature Sodium Citrate pH 6.0 was used for antigen retrieval.
For Reseach Only
Application Key:WB - Western Blot | IHC - Immunohistochemistry | ICC - Immunocytochemistry | FCM - Flow Cytometry | ELISA - Enzyme-linked Immunosorbent Assay | IP - Immunoprecipitation
#P20173
相关产品

微信/QQ登录


首页
