提醒成功
搜索
Rabbit Monoclonal Antibody to Phospho-delta 1 Catenin (Thr916)
-
货号:
P20169 -
别名:
CAS; p120; BCDS2; CTNND; P120CAS; P120CTN; p120(CAS); p120(CTN) -
应用:
WB,IHC,IF -
反应种属:
Human,Mouse -
抗体类型:
Primary antibody -
Swissprot:
O60716 -
规格:
-
数量:
-+ -
说明书:
目录价¥2180
Rabbit Monoclonal Antibody to Phospho-delta 1 Catenin (Thr916)
Description |
|---|
Catenin δ-1 (p120 catenin) has an amino-terminal coiled-coil domain followed by a regulatory domain containing multiple phosphorylation sites and a central Armadillo repeat domain of ten linked 42-amino acid repeats. The carboxy-terminal tail has no known function. Catenin δ-1 fulfills critical roles in the regulation of cell-cell adhesion as it regulates E-cadherin turnover at the cell surface to determine the level of E-cadherin available for cell-cell adhesion. |
Specification |
|
|---|---|
| Aliases | CAS; p120; BCDS2; CTNND; P120CAS; P120CTN; p120(CAS); p120(CTN) |
| Entrez GeneID | 1500 |
| Swissprot | O60716 |
| WB Predicted band size | Calculated MW: 108 kDa; Observed MW: 100 kDa |
| Host/Isotype | Rabbit IgG |
| Antibody Type | Primary antibody |
| Storage | Store at 4°C short term. Aliquot and store at -20°C long term. Avoid freeze/thaw cycles. |
| Species Reactivity | Human,Mouse |
| Immunogen | A synthetic phosphopeptide corresponding to residues surrounding Thr916 of human delta 1 Catenin/CAS |
| Formulation | Purified antibody in TBS with 0.05% sodium azide,0.05%BSA and 50% glycerol. |
Application |
|
|---|---|
| WB | 1/500-1/1000 |
| IHC | 1/50-1/100 |
| IF/ICC | 1/50-1/200 |
Product Image
- Western blot analysis of Phospho-delta 1 Catenin/CAS (Thr916) in MCF-7, U251, C2C12 lysates using Phospho-delta 1 Catenin (Thr916) antibody.
- Immunocytochemistry analysis of delta 1 Catenin/CAS (Phospho-Thr916) (green) in hela using delta 1 Catenin/CAS (Phospho-Thr916) antibody,and DAPI(blue)
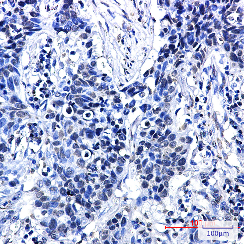
- Immunohistochemistry analysis of paraffin-embedded Human lung cancer using Phospho-delta 1 Catenin/CAS (Thr916) antibody.High-pressure and temperature Sodium Citrate pH 6.0 was used for antigen retrieval.
For Reseach Only
Application Key:WB - Western Blot | IHC - Immunohistochemistry | ICC - Immunocytochemistry | FCM - Flow Cytometry | ELISA - Enzyme-linked Immunosorbent Assay | IP - Immunoprecipitation
#P20169
相关产品

微信/QQ登录


首页
