提醒成功
搜索
Rabbit Monoclonal Antibody to Phospho-CDK1/2 (Thr14)
-
货号:
P20165 -
别名:
CDKN2; p33(CDK2) -
应用:
WB,IP,IHC -
反应种属:
Human -
抗体类型:
Primary antibody -
Swissprot:
P06493/P24941 -
规格:
-
数量:
-+ -
说明书:
目录价¥2180
Rabbit Monoclonal Antibody to Phospho-CDK1/2 (Thr14)
Description |
|---|
Cdk2 is a member of the Ser/Thr protein kinase family. It is highly similar to the gene products of S. cerevisiae cdc28, and S. pombe cdc2. Cdk2 is closely related to cdc2 (cdk1) which has proved useful as a marker of proliferation. Cdk1 and Cdk2 are a catalytic subunits of the highly conserved protein kinase complex known as M-phase promoting factor (MPF), which is essential for G1/S and G2/M phase transitions of eukaryotic cell cycle. |
Specification |
|
|---|---|
| Aliases | CDKN2; p33(CDK2) |
| Entrez GeneID | 983/1017 |
| Swissprot | P06493/P24941 |
| WB Predicted band size | Calculated MW: 34 kDa; Observed MW: 34 kDa |
| Host/Isotype | Rabbit IgG |
| Antibody Type | Primary antibody |
| Storage | Store at 4°C short term. Aliquot and store at -20°C long term. Avoid freeze/thaw cycles. |
| Species Reactivity | Human |
| Immunogen | A synthetic phosphopeptide corresponding to residues surrounding Thr14 of human Cdk1/2 |
| Formulation | Purified antibody in TBS with 0.05% sodium azide,0.05%BSA and 50% glycerol. |
Application |
|
|---|---|
| WB | 1/500-1/1000 |
| IP | 1/10-1/20 |
| IHC | 1/50-1/100 |
Product Image
- Western blot analysis of Cdk1/2 (Phospho-Thr14) in HepG2, U2OS, U251 lysates using Phospho-CDK1/2 (Thr14) antibody.
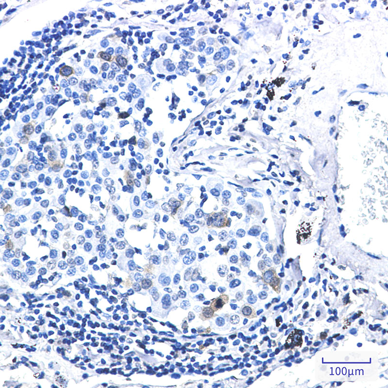
- Immunohistochemistry analysis of paraffin-embedded Human lung cancer using Cdk1/2 (Phospho-Thr14) antibody.High-pressure and temperature Sodium Citrate pH 6.0 was used for antigen retrieval.
For Reseach Only
Application Key:WB - Western Blot | IHC - Immunohistochemistry | ICC - Immunocytochemistry | FCM - Flow Cytometry | ELISA - Enzyme-linked Immunosorbent Assay | IP - Immunoprecipitation
#P20165
相关产品

微信/QQ登录


首页
