提醒成功

搜索
Mouse Monoclonal Antibody to STYK1
-
货号:
20168 -
别名:
NOK; SuRTK106; DKFZp761P1010 -
应用:
IHC -
反应种属:
Human -
抗体类型:
Primary antibody -
Swissprot:
Q6J9G0 -
规格:
-
数量:
-+ -
说明书:
目录价¥2180

Mouse Monoclonal Antibody to STYK1
Description |
---|
Protein kinases (PKs) represent a well studied but most diverse protein superfamily. The covalent, reversible linkage of phosphate to serine, threonine, and tyrosine residues of substrate proteins by protein kinases is probably ubiquitous cellular mechanism for regulation of physiological processes. It is known to us that most signaling pathways impinge at some point on protein kinases. Here we report a human putative receptor protein kinase cDNA STYK1. The STYK1 cDNA is 2749 base pairs in length and contains an open reading frame encoding 422 amino acids. The STYK1 gene is mapped to human chromosome 12p13 and 11 exons were found. RT-PCR showed that STYK1 is widely expressed in human tissues. |
References |
---|
1. Liu L, Yu XZ and Li TS, et al. Mol Biol Rep. 2003, Jun, 30(2):91-6. 2. Moriai R. , Kobayashi D.and Amachika T. , et al. Mol Biol Rep. 2007, Apr, 6. |
Specification |
|
---|---|
Aliases | NOK; SuRTK106; DKFZp761P1010 |
Entrez GeneID | 55359 |
Swissprot | Q6J9G0 |
clone | 2H2F10 |
Host/Isotype | Mouse IgG1 |
Antibody Type | Primary antibody |
Storage | Store at 4°C short term. Aliquot and store at -20°C long term. Avoid freeze/thaw cycles. |
Species Reactivity | Human |
Immunogen | Purified recombinant fragment of STYK1 expressed in E. Coli. |
Formulation | Ascitic fluid containing 0.03% sodium azide. |
Application |
|
---|---|
IHC | 1/200 - 1/1000 |
ELISA | 1/10000 |
Product Image
- Immunohistochemical analysis of paraffin-embedded human ovary carcinoma (A), normal cerebrum tissues (B), breast infiltrating carcinoma (C) and breast infiltrating carcinoma (D), showing cytoplasmic localization using STYK1/NOK mouse mAb with DAB staining.
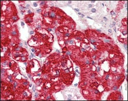
- Immunohistochemical analysis of paraffin-embedded human adrenal tissues using STYK1/NOK mouse mAb with DAB staining.
For Reseach Only
Application Key:WB - Western Blot | IHC - Immunohistochemistry | ICC - Immunocytochemistry | FCM - Flow Cytometry | ELISA - Enzyme-linked Immunosorbent Assay | IP - Immunoprecipitation
#20168

相关产品


