提醒成功
 
            
            搜索
        Mouse Monoclonal Antibody to GRM3
- 
										货号: 31255
- 
										别名: GLUR3; mGlu3; GPRC1C; MGLUR3
- 
										应用: IHC,FCM
- 
										反应种属: Human
- 
										抗体类型: Primary antibody
- 
										Swissprot: Q14832
- 
										规格: 
- 
										数量: -+
- 
										
										说明书: 目录价¥2180 
 
						        
						        
						        
						        
						    Mouse Monoclonal Antibody to GRM3
| Description | 
|---|
| L-glutamate is the major excitatory neurotransmitter in the central nervous system and activates both ionotropic and metabotropic glutamate receptors. Glutamatergic neurotransmission is involved in most aspects of normal brain function and can be perturbed in many neuropathologic conditions. The metabotropic glutamate receptors are a family of G protein-coupled receptors, that have been divided into 3 groups on the basis of sequence homology, putative signal transduction mechanisms, and pharmacologic properties. Group I includes GRM1 and GRM5 and these receptors have been shown to activate phospholipase C. Group II includes GRM2 and GRM3 while Group III includes GRM4, GRM6, GRM7 and GRM8. Group II and III receptors are linked to the inhibition of the cyclic AMP cascade but differ in their agonist selectivities. | 
| References | 
|---|
| 1.Prog Neuropsychopharmacol Biol Psychiatry. 2015 Oct 1;62:14-21. 2.Cell Mol Biol (Noisy-le-grand). 2014 Sep 6;60(2):42-9. | 
| Specification | |
|---|---|
| Aliases | GLUR3; mGlu3; GPRC1C; MGLUR3 | 
| Entrez GeneID | 2913 | 
| Swissprot | Q14832 | 
| clone | 6H10C3 | 
| WB Predicted band size | 99kDa | 
| Host/Isotype | Mouse IgG1 | 
| Antibody Type | Primary antibody | 
| Storage | Store at 4°C short term. Aliquot and store at -20°C long term. Avoid freeze/thaw cycles. | 
| Species Reactivity | Human | 
| Immunogen | Purified recombinant fragment of human GRM3 (AA: extra 433-576) expressed in E. Coli. | 
| Formulation | Purified antibody in PBS with 0.05% sodium azide | 
| Application | |
|---|---|
| IHC | 1/200 - 1/1000 | 
| FCM | 1/200 - 1/400 | 
| ELISA | 1/10000 | 
Product Image
- Black line: Control Antigen (100 ng);Purple line: Antigen (10ng); Blue line: Antigen (50 ng); Red line:Antigen (100 ng)
- Flow cytometric analysis of SH-SY5Y cells using GRM3 mouse mAb (green) and negative control (red).
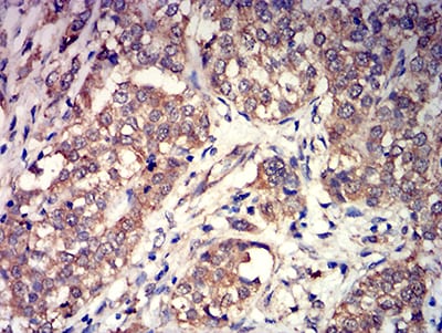
- Immunohistochemical analysis of paraffin-embedded human bladder cancer tissues using GRM3 mouse mAb with DAB staining.
- Immunohistochemical analysis of paraffin-embedded human stomach cancer tissues using GRM3 mouse mAb with DAB staining.
For Reseach Only
Application Key:WB - Western Blot | IHC - Immunohistochemistry | ICC - Immunocytochemistry | FCM - Flow Cytometry | ELISA - Enzyme-linked Immunosorbent Assay | IP - Immunoprecipitation
#31255
 
						
						相关产品
 
         
     
			 
			 
		
 
                 
         
                     
         
 
         
        
        
         
                 
                 微信/QQ登录
 微信/QQ登录


 首页
 首页
							 
											    											     
											    											     
											    											     
											    											    
 
											 
											 
											 
																											 
																											 
																											 
																											 
																											 
																											 
																											 
																											 
																											 
																											