提醒成功

搜索
Mouse Monoclonal Antibody to RALB
-
货号:
31120 -
别名:
-
应用:
WB,IHC,FCM -
反应种属:
Human,Mouse,Monkey -
抗体类型:
Primary antibody -
Swissprot:
P11234 -
规格:
-
数量:
-+ -
说明书:
目录价¥2180

Mouse Monoclonal Antibody to RALB
Description |
---|
This gene encodes a GTP-binding protein that belongs to the small GTPase superfamily and Ras family of proteins. GTP-binding proteins mediate the transmembrane signaling initiated by the occupancy of certain cell surface receptors. |
References |
---|
1.Clin Transl Oncol. 2015 Jun;17(6):477-85. 2.Cancer Res. 2010 Nov 1;70(21):8760-9. |
Specification |
|
---|---|
Entrez GeneID | 5899 |
Swissprot | P11234 |
clone | 7F8B4 |
WB Predicted band size | 23.4kDa |
Host/Isotype | Mouse IgG2b |
Antibody Type | Primary antibody |
Storage | Store at 4°C short term. Aliquot and store at -20°C long term. Avoid freeze/thaw cycles. |
Species Reactivity | Human,Mouse,Monkey |
Immunogen | Purified recombinant fragment of human RALB (AA: 89-206) expressed in E. Coli. |
Formulation | Purified antibody in PBS with 0.05% sodium azide |
Application |
|
---|---|
WB | 1/500 - 1/2000 |
IHC | 1/200 - 1/1000 |
FCM | 1/200 - 1/400 |
ELISA | 1/10000 |
Product Image
- Black line: Control Antigen (100 ng);Purple line: Antigen (10ng); Blue line: Antigen (50 ng); Red line:Antigen (100 ng)
- Western blot analysis using RALB mouse mAb against HepG2 (1), COS7 (2), NIH/3T3 (3), A549 (4), U251 (5), HT-29 (6), HEK293 (7), and LOVO (8) cell lysate.
- Flow cytometric analysis of Hela cells using RALB mouse mAb (green) and negative control (red).
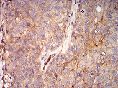
- Immunohistochemical analysis of paraffin-embedded human cervical cancer tissues using RALB mouse mAb with DAB staining.
- Immunohistochemical analysis of paraffin-embedded human bladder cancer tissues using RALB mouse mAb with DAB staining.
For Reseach Only
Application Key:WB - Western Blot | IHC - Immunohistochemistry | ICC - Immunocytochemistry | FCM - Flow Cytometry | ELISA - Enzyme-linked Immunosorbent Assay | IP - Immunoprecipitation
#31120

相关产品


