提醒成功

搜索
Mouse Monoclonal Antibody to Rab1b
-
货号:
30968 -
别名:
-
应用:
IHC,FCM -
反应种属:
Human -
抗体类型:
Primary antibody -
Swissprot:
Q9H0U4 -
规格:
-
数量:
-+ -
说明书:
目录价¥2180

Mouse Monoclonal Antibody to Rab1b
Description |
---|
Members of the RAB protein family, such as RAB1B, are low molecular mass monomeric GTPases localized on the cytoplasmic surfaces of distinct membrane-bound organelles. RAB1B functions in the early secretory pathway and is essential for vesicle transport between the endoplasmic reticulum (ER) and Golgi |
References |
---|
1.Mol Biol Cell. 2013 Mar;24(5):617-32. 2.Eur J Cell Biol. 2011 Apr;90(4):301-11. |
Specification |
|
---|---|
Entrez GeneID | 81876 |
Swissprot | Q9H0U4 |
clone | 7A12G2 |
WB Predicted band size | 22.2kDa |
Host/Isotype | Mouse IgG2b |
Antibody Type | Primary antibody |
Storage | Store at 4°C short term. Aliquot and store at -20°C long term. Avoid freeze/thaw cycles. |
Species Reactivity | Human |
Immunogen | Purified recombinant fragment of human Rab1b (AA: 60-201) expressed in E. Coli. |
Formulation | Purified antibody in PBS with 0.05% sodium azide |
Application |
|
---|---|
IHC | 1/200 - 1/1000 |
FCM | 1/200 - 1/400 |
ELISA | 1/10000 |
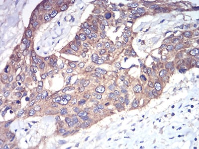
Product Image
- Black line: Control Antigen (100 ng);Purple line: Antigen (10ng); Blue line: Antigen (50 ng); Red line:Antigen (100 ng)
- Flow cytometric analysis of Hela cells using Rab1b mouse mAb (green) and negative control (red).
- Immunohistochemical analysis of paraffin-embedded human bladder cancer tissues using Rab1b mouse mAb with DAB staining.
- Immunohistochemical analysis of paraffin-embedded human esophageal cancer tissues using Rab1b mouse mAb with DAB staining.
For Reseach Only
Application Key:WB - Western Blot | IHC - Immunohistochemistry | ICC - Immunocytochemistry | FCM - Flow Cytometry | ELISA - Enzyme-linked Immunosorbent Assay | IP - Immunoprecipitation
#30968

相关产品


