提醒成功

搜索
Mouse Monoclonal Antibody to HIST2H4A(20Me)
-
货号:
30886 -
别名:
H4; H4/n; H4F2; H4FN; FO108; HIST2H4 -
应用:
IHC,IF -
反应种属:
Human -
抗体类型:
Primary antibody -
Swissprot:
P62805 -
规格:
-
数量:
-+ -
说明书:
目录价¥2180

Mouse Monoclonal Antibody to HIST2H4A(20Me)
Description |
---|
Histones are basic nuclear proteins that are responsible for the nucleosome structure of the chromosomal fiber in eukaryotes. This structure consists of approximately 146 bp of DNA wrapped around a nucleosome, an octamer composed of pairs of each of the four core histones (H2A, H2B, H3, and H4). The chromatin fiber is further compacted through the interaction of a linker histone, H1, with the DNA between the nucleosomes to form higher order chromatin structures. This gene is intronless and encodes a member of the histone H4 family. Transcripts from this gene lack polyA tails; instead, they contain a palindromic termination element. This gene is found in a histone cluster on chromosome 1. This gene is one of four histone genes in the cluster that are duplicated; this record represents the centromeric copy. |
References |
---|
1.J Virol. 2011 Dec;85(24):13234-52. 2.Mol Cell Biol. 2003 Feb;23(4):1460-9. |
Specification |
|
---|---|
Aliases | H4; H4/n; H4F2; H4FN; FO108; HIST2H4 |
Entrez GeneID | 8370 |
Swissprot | P62805 |
clone | 3E7D9 |
WB Predicted band size | 11.4kDa |
Host/Isotype | Mouse IgG1 |
Antibody Type | Primary antibody |
Storage | Store at 4°C short term. Aliquot and store at -20°C long term. Avoid freeze/thaw cycles. |
Species Reactivity | Human |
Immunogen | Synthesized peptide of human HIST2H4A ( AA: GGAKRHRK(Me)VLRDNIQ ) . |
Formulation | Purified antibody in PBS with 0.05% sodium azide |
Application |
|
---|---|
IHC | 1/200 - 1/1000 |
IF/ICC | 1/200 - 1/1000 |
ELISA | 1/10000 |
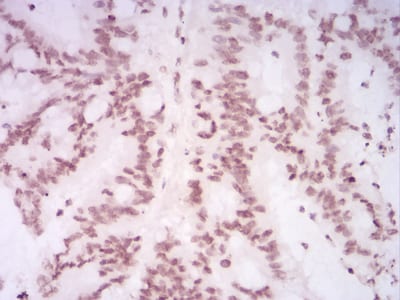
Product Image
- Black line: Control Antigen (100 ng); Purple line: Antigen(10ng); Blue line: Antigen (50 ng); Red line: Antigen (100 ng);
- Immunofluorescence analysis of HeLa cells . Blue: DRAQ5 fluorescent DNA dye. Red: Actin filaments have been labeled with Alexa Fluor- 555 phalloidin.
- Immunofluorescence analysis of HeLa cells using HIST2H4A(20Me) mouse mAb (green). Blue: DRAQ5 fluorescent DNA dye. Red: Actin filaments have been labeled with Alexa Fluor- 555 phalloidin. Secondary antibody from Fisher (Cat#: 35503)
- Immunohistochemical analysis of paraffin-embedded human esophageal cancer tissues using HIST2H4A(20Me) mouse mAb with DAB staining.
- Immunohistochemical analysis of paraffin-embedded human colon cancer tissues using HIST2H4A(20Me) mouse mAb with DAB staining.
For Reseach Only
Application Key:WB - Western Blot | IHC - Immunohistochemistry | ICC - Immunocytochemistry | FCM - Flow Cytometry | ELISA - Enzyme-linked Immunosorbent Assay | IP - Immunoprecipitation
#30886

相关产品


