提醒成功

搜索
Mouse Monoclonal Antibody to PLCG1
-
货号:
30861 -
别名:
PLC1; NCKAP3; PLC-II; PLC148; PLCgamma1 -
应用:
WB,IHC,IF,FCM -
反应种属:
Human,Rat,Monkey -
抗体类型:
Primary antibody -
Swissprot:
P19174 -
规格:
-
数量:
-+ -
说明书:
目录价¥2180

Mouse Monoclonal Antibody to PLCG1
Description |
---|
The protein encoded by this gene catalyzes the formation of inositol 1,4,5-trisphosphate and diacylglycerol from phosphatidylinositol 4,5-bisphosphate. This reaction uses calcium as a cofactor and plays an important role in the intracellular transduction of receptor-mediated tyrosine kinase activators. For example, when activated by SRC, the encoded protein causes the Ras guanine nucleotide exchange factor RasGRP1 to translocate to the Golgi, where it activates Ras. Also, this protein has been shown to be a major substrate for heparin-binding growth factor 1 (acidic fibroblast growth factor)-activated tyrosine kinase. Two transcript variants encoding different isoforms have been found for this gene. |
References |
---|
1.Cancer Discov. 2014 Apr;4(4):OF13. 2.Int J Cancer. 2013 Mar 1;132(5):1022-31. |
Specification |
|
---|---|
Aliases | PLC1; NCKAP3; PLC-II; PLC148; PLCgamma1 |
Entrez GeneID | 5335 |
Swissprot | P19174 |
clone | 3C2D11 |
WB Predicted band size | 148.5kDa |
Host/Isotype | Mouse IgG1 |
Antibody Type | Primary antibody |
Storage | Store at 4°C short term. Aliquot and store at -20°C long term. Avoid freeze/thaw cycles. |
Species Reactivity | Human,Rat,Monkey |
Immunogen | Purified recombinant fragment of human PLCG1 (AA: 1192-1291) expressed in E. Coli. |
Formulation | Purified antibody in PBS with 0.05% sodium azide |
Application |
|
---|---|
WB | 1/500 - 1/2000 |
IHC | 1/200 - 1/1000 |
IF/ICC | 1/200 - 1/1000 |
FCM | 1/200 - 1/400 |
ELISA | 1/10000 |
Product Image
- Black line: Control Antigen (100 ng); Purple line: Antigen(10ng); Blue line: Antigen (50 ng); Red line: Antigen (100 ng);
- Western blot analysis using PLCG1 mouse mAb against Hela (1), A431 (2), C6 (3), NIH/3T3 (4), COS7 (5), and HCT116 (6) cell lysate.
- Immunofluorescence analysis of HeLa cells using PLCG1 mouse mAb (green). Blue: DRAQ5 fluorescent DNA dye. Red: Actin filaments have been labeled with Alexa Fluor- 555 phalloidin. Secondary antibody from Fisher (Cat#: 35503)
- Flow cytometric analysis of Jurkat cells using PLCG1 mouse mAb (green) and negative control (red).
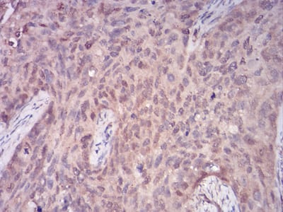
- Immunohistochemical analysis of paraffin-embedded human cervical cancer tissues using PLCG1 mouse mAb with DAB staining.
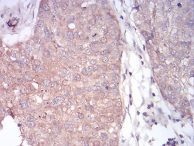
- Immunohistochemical analysis of paraffin-embedded human bladder cancer tissues using PLCG1 mouse mAb with DAB staining.
For Reseach Only
Application Key:WB - Western Blot | IHC - Immunohistochemistry | ICC - Immunocytochemistry | FCM - Flow Cytometry | ELISA - Enzyme-linked Immunosorbent Assay | IP - Immunoprecipitation
#30861

相关产品


