提醒成功

搜索
Mouse Monoclonal Antibody to SDC1
-
货号:
30602 -
别名:
SDC; CD138; SYND1; syndecan -
应用:
WB,IHC,IF,FCM -
反应种属:
Human,Mouse -
抗体类型:
Primary antibody -
Swissprot:
P18827 -
规格:
-
数量:
-+ -
说明书:
目录价¥2180

Mouse Monoclonal Antibody to SDC1
Description |
---|
The protein encoded by this gene is a transmembrane (type I) heparan sulfate proteoglycan and is a member of the syndecan proteoglycan family. The syndecans mediate cell binding, cell signaling, and cytoskeletal organization and syndecan receptors are required for internalization of the HIV-1 tat protein. The syndecan-1 protein functions as an integral membrane protein and participates in cell proliferation, cell migration and cell-matrix interactions via its receptor for extracellular matrix proteins. Altered syndecan-1 expression has been detected in several different tumor types. While several transcript variants may exist for this gene, the full-length natures of only two have been described to date. These two represent the major variants of this gene and encode the same protein. |
References |
---|
1. Am J Clin Pathol. 2012 Mar;137(3):423-8. 2. PLoS One. 2011;6(9):e25252. |
Specification |
|
---|---|
Aliases | SDC; CD138; SYND1; syndecan |
Entrez GeneID | 6382 |
Swissprot | P18827 |
clone | 1A3H4 |
WB Predicted band size | 32.5kDa |
Host/Isotype | Mouse IgG1 |
Antibody Type | Primary antibody |
Storage | Store at 4°C short term. Aliquot and store at -20°C long term. Avoid freeze/thaw cycles. |
Species Reactivity | Human,Mouse |
Immunogen | Purified recombinant fragment of human SDC1 (AA: 28-171) expressed in E. Coli. |
Formulation | Purified antibody in PBS with 0.05% sodium azide. |
Application |
|
---|---|
WB | 1/500 - 1/2000 |
IHC | 1/200 - 1/1000 |
IF/ICC | 1/200 - 1/1000 |
FCM | 1/200 - 1/400 |
ELISA | 1/10000 |
Product Image
- Black line: Control Antigen (100 ng); Purple line: Antigen(10ng); Blue line: Antigen (50 ng); Red line: Antigen (100 ng);
- Western blot analysis using SDC1 mouse mAb against MCF-7 (1), Hela (2), HepG2 (3), T47D (4), SW620 (5), Jurkat (6) and NIH/3T3 (7) cell lysate.
- Immunofluorescence analysis of HepG2 cells using SDC1 mouse mAb (green). Blue: DRAQ5 fluorescent DNA dye. Secondary antibody from Fisher (Cat#: 35503)
- Flow cytometric analysis of HepG2 cells using SDC1 mouse mAb (green) and negative control (red).
- Immunohistochemical analysis of paraffin-embedded human ovarian cancer tissues using SDC1 mouse mAb with DAB staining.
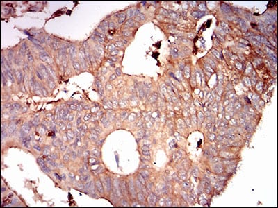
- Immunohistochemical analysis of paraffin-embedded human rectum cancer tissues using SDC1 mouse mAb with DAB staining.
For Reseach Only
Application Key:WB - Western Blot | IHC - Immunohistochemistry | ICC - Immunocytochemistry | FCM - Flow Cytometry | ELISA - Enzyme-linked Immunosorbent Assay | IP - Immunoprecipitation
#30602

相关产品


