提醒成功

搜索
Rabbit Polyclonal Antibody to IQCJ
-
货号:
P30873 -
别名:
IQ domain-containing protein J, IQCJ -
应用:
WB,IHC-P,FCM -
反应种属:
Human, Mouse -
抗体类型:
Primary antibody -
Swissprot:
Q1A5X6 -
规格:
-
数量:
-+ -
说明书:
目录价¥1980

Rabbit Polyclonal Antibody to IQCJ
Specification |
|
---|---|
Aliases | IQ domain-containing protein J, IQCJ |
Entrez GeneID | 654502 |
Swissprot | Q1A5X6 |
WB Predicted band size | 18.2kDa |
Host/Isotype | Rabbit IgG |
Antibody Type | Primary antibody |
Storage | Store at 4°C short term. Aliquot and store at -20°C long term. Avoid freeze/thaw cycles. |
Species Reactivity | Human, Mouse |
Immunogen | This IQCJ antibody is generated from rabbits immunized with a KLH conjugated synthetic peptide between 98-126 amino acids from the C-terminal region of human IQCJ. |
Formulation | Purified antibody in PBS with 0.05% sodium azide. |
Application |
|
---|---|
WB | 1/1000 |
IHC | 1/100-1/500 |
FCM | 1/10-1/50 |
Product Image
- IQCJ Antibody (C-term) (Cat. #P30873) western blot analysis in K562 cell line lysates (35ug/lane).This demonstrates the IQCJ antibody detected the IQCJ protein (arrow).
- IQCJ Antibody (C-term) (Cat. #P30873) western blot analysis in mouse NIH-3T3 cell line lysates (35ug/lane).This demonstrates the IQCJ antibody detected the IQCJ protein (arrow).
- IQCJ Antibody (C-term) (Cat. #P30873) flow cytometric analysis of K562 cells (right histogram) compared to a negative control cell (left histogram).FITC-conjugated goat-anti-rabbit secondary antibodies were used for the analysis.
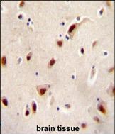
- IQCJ Antibody (C-term) (Cat. #P30873) immunohistochemistry analysis in formalin fixed and paraffin embedded human brain tissue followed by peroxidase conjugation of the secondary antibody and DAB staining. This data demonstrates the use of the IQCJ Antibody (C-term) for immunohistochemistry. Clinical relevance has not been evaluated.
For Reseach Only
Application Key:WB - Western Blot | IHC - Immunohistochemistry | ICC - Immunocytochemistry | FCM - Flow Cytometry | ELISA - Enzyme-linked Immunosorbent Assay | IP - Immunoprecipitation
#P30873

相关产品


