提醒成功
 
            
            搜索
        Mouse Monoclonal Antibody to LRP1
- 
										货号: 30876
- 
										别名: APR; LRP; A2MR; CD91; APOER; LRP1A; TGFBR5; IGFBP3R
- 
										应用: IHC,IF
- 
										反应种属: Human
- 
										抗体类型: Primary antibody
- 
										Swissprot: Q07954
- 
										规格: 
- 
										数量: -+
- 
										
										说明书: 目录价¥2180 
 
						        
						        
						        
						        
						    Mouse Monoclonal Antibody to LRP1
| Description | 
|---|
| The protein encoded by this gene is an endocytic receptor involved in several cellular processes, including intracellular signaling, lipid homeostasis, and clearance of apoptotic cells. In addition, the encoded protein is necessary for the A2M-mediated clearance of secreted amyloid precursor protein and beta-amyloid, the main component of amyloid plaques found in Alzheimer patients. Expression of this gene decreases with age and has been found to be lower than controls in brain tissue from Alzheimer patients.  | 
| References | 
|---|
| 1.Biomed Res Int. 2013;2013:152163. 2.J Transl Med. 2012 Aug 8;10:160. | 
| Specification | |
|---|---|
| Aliases | APR; LRP; A2MR; CD91; APOER; LRP1A; TGFBR5; IGFBP3R | 
| Entrez GeneID | 4035 | 
| Swissprot | Q07954 | 
| clone | 1C8G6 | 
| WB Predicted band size | 504kDa | 
| Host/Isotype | Mouse IgG1 | 
| Antibody Type | Primary antibody | 
| Storage | Store at 4°C short term. Aliquot and store at -20°C long term. Avoid freeze/thaw cycles. | 
| Species Reactivity | Human | 
| Immunogen | Purified recombinant fragment of human LRP1 (AA: 20-155) expressed in E. Coli. | 
| Formulation | Purified antibody in PBS with 0.05% sodium azide | 
| Application | |
|---|---|
| IHC | 1/200 - 1/1000 | 
| IF/ICC | 1/200 - 1/1000 | 
| ELISA | 1/10000 | 
Product Image
- Black line: Control Antigen (100 ng); Purple line: Antigen(10ng); Blue line: Antigen (50 ng); Red line: Antigen (100 ng);
- Immunofluorescence analysis of HeLa cells using LRP1 mouse mAb (green). Blue: DRAQ5 fluorescent DNA dye. Red: Actin filaments have been labeled with Alexa Fluor- 555 phalloidin. Secondary antibody from Fisher (Cat#: 35503)
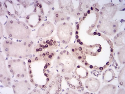
- Immunohistochemical analysis of paraffin-embedded human kidney tissues using LRP1 mouse mAb with DAB staining.
- Immunohistochemical analysis of paraffin-embedded human rectum cancer tissues using LRP1 mouse mAb with DAB staining.
For Reseach Only
Application Key:WB - Western Blot | IHC - Immunohistochemistry | ICC - Immunocytochemistry | FCM - Flow Cytometry | ELISA - Enzyme-linked Immunosorbent Assay | IP - Immunoprecipitation
#30876
 
						
						相关产品
 
         
     
			 
			 
		
 
                 
         
                     
         
 
         
        
        
         
                 
                 微信/QQ登录
 微信/QQ登录


 首页
 首页
							 
											    											     
											    											     
											    											     
											    											    
 
											 
											 
											 
																											 
																											 
																											 
																											 
																											 
																											 
																											 
																											 
																											 
																											