提醒成功

搜索
Rabbit Polyclonal Antibody to EFHB (N-term)
-
货号:
P30872 -
别名:
EF-hand domain-containing family member B, EFHB -
应用:
WB,IHC-P,FCM -
反应种属:
Human -
抗体类型:
Primary antibody -
Swissprot:
Q8N7U6 -
规格:
-
数量:
-+ -
说明书:
目录价¥1980

Rabbit Polyclonal Antibody to EFHB (N-term)
Description |
---|
EFHB contains two EF-hand domains. There are three named isoforms. |
Specification |
|
---|---|
Aliases | EF-hand domain-containing family member B, EFHB |
Entrez GeneID | 151651 |
Swissprot | Q8N7U6 |
WB Predicted band size | 93.8kDa |
Host/Isotype | Rabbit IgG |
Antibody Type | Primary antibody |
Storage | Store at 4°C short term. Aliquot and store at -20°C long term. Avoid freeze/thaw cycles. |
Species Reactivity | Human |
Immunogen | This EFHB antibody is generated from rabbits immunized with a KLH conjugated synthetic peptide between 1-30 amino acids from the N-terminal region of human EFHB. |
Formulation | Purified antibody in PBS with 0.05% sodium azide. |
Application |
|
---|---|
WB | 1/1000 |
IHC | 1/100-1/500 |
FCM | 1/10-1/50 |
Product Image
- EFHB Antibody (N-term) (Cat. #P30872) western blot analysis in MCF-7 cell line lysates (35ug/lane).This demonstrates the EFHB antibody detected the EFHB protein (arrow).
- EFHB Antibody (N-term) (Cat. #P30872) flow cytometric analysis of MCF-7 cells (right histogram) compared to a negative control cell (left histogram).FITC-conjugated goat-anti-rabbit secondary antibodies were used for the analysis.
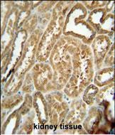
- EFHB antibody (N-term) (Cat. #P30872) immunohistochemistry analysis in formalin fixed and paraffin embedded human kidney tissue followed by peroxidase conjugation of the secondary antibody and DAB staining. This data demonstrates the use of the EFHB antibody (N-term) for immunohistochemistry. Clinical relevance has not been evaluated.
For Reseach Only
Application Key:WB - Western Blot | IHC - Immunohistochemistry | ICC - Immunocytochemistry | FCM - Flow Cytometry | ELISA - Enzyme-linked Immunosorbent Assay | IP - Immunoprecipitation
#P30872

相关产品


