提醒成功

搜索
Rabbit Polyclonal Antibody to OR9Q1
-
货号:
P30870 -
别名:
Olfactory receptor 9Q1, OR9Q1 -
应用:
WB,IHC-P,FCM -
反应种属:
Human, Mouse -
抗体类型:
Primary antibody -
Swissprot:
Q8NGQ5 -
规格:
-
数量:
-+ -
说明书:
目录价¥1980

Rabbit Polyclonal Antibody to OR9Q1
Description |
---|
Olfactory receptors interact with odorant molecules in the nose, to initiate a neuronal response that triggers the perception of a smell. The olfactory receptor proteins are members of a large family of G-protein-coupled receptors (GPCR) arising from single coding-exon genes. Olfactory receptors share a 7-transmembrane domain structure with many neurotransmitter and hormone receptors and are responsible for the recognition and G protein-mediated transduction of odorant signals. The olfactory receptor gene family is the largest in the genome. The nomenclature assigned to the olfactory receptor genes and proteins for this organism is independent of other organisms. |
Specification |
|
---|---|
Aliases | Olfactory receptor 9Q1, OR9Q1 |
Entrez GeneID | 219956 |
Swissprot | Q8NGQ5 |
WB Predicted band size | 34.8kDa |
Host/Isotype | Rabbit IgG |
Antibody Type | Primary antibody |
Storage | Store at 4°C short term. Aliquot and store at -20°C long term. Avoid freeze/thaw cycles. |
Species Reactivity | Human, Mouse |
Immunogen | This OR9Q1 antibody is generated from rabbits immunized with a KLH conjugated synthetic peptide between 279-308 amino acids from the C-terminal region of human OR9Q1. |
Formulation | Purified antibody in PBS with 0.05% sodium azide. |
Application |
|
---|---|
WB | 1/1000 |
IHC | 1/100-1/500 |
FCM | 1/10-1/50 |
Product Image
- OR9Q1 Antibody (C-term) (Cat. #P30870) western blot analysis in mouse Neuro-2a cell line lysates (35ug/lane).This demonstrates the OR9Q1 antibody detected the OR9Q1 protein (arrow).
- OR9Q1 Antibody (C-term) (Cat. #P30870) flow cytometric analysis of Neuro-2a cells (right histogram) compared to a negative control cell (left histogram).FITC-conjugated donkey-anti-rabbit secondary antibodies were used for the analysis.
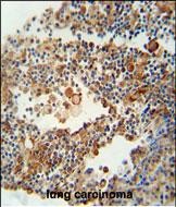
- OR9Q1 antibody (C-term) (Cat. #P30870) immunohistochemistry analysis in formalin fixed and paraffin embedded human lung carcinoma followed by peroxidase conjugation of the secondary antibody and DAB staining. This data demonstrates the use of the OR9Q1 antibody (C-term) for immunohistochemistry. Clinical relevance has not been evaluated.
For Reseach Only
Application Key:WB - Western Blot | IHC - Immunohistochemistry | ICC - Immunocytochemistry | FCM - Flow Cytometry | ELISA - Enzyme-linked Immunosorbent Assay | IP - Immunoprecipitation
#P30870

相关产品


