提醒成功

搜索
Rabbit Polyclonal Antibody to C4BPA
-
货号:
P30780 -
别名:
C4b-binding protein alpha chain, C4bp, Proline-rich protein, PRP, C4BPA, C4BP -
应用:
WB,IHC-P,FCM -
反应种属:
Human -
抗体类型:
Primary antibody -
Swissprot:
P04003 -
规格:
-
数量:
-+ -
说明书:
目录价¥1980

Rabbit Polyclonal Antibody to C4BPA
Specification |
|
---|---|
Aliases | C4b-binding protein alpha chain, C4bp, Proline-rich protein, PRP, C4BPA, C4BP |
Entrez GeneID | 722 |
Swissprot | P04003 |
WB Predicted band size | 67.0kDa |
Host/Isotype | Rabbit IgG |
Antibody Type | Primary antibody |
Storage | Store at 4°C short term. Aliquot and store at -20°C long term. Avoid freeze/thaw cycles. |
Species Reactivity | Human |
Immunogen | This C4BPA antibody is generated from rabbits immunized with a KLH conjugated synthetic peptide between 470-499 amino acids from the C-terminal region of human C4BPA. |
Formulation | Purified antibody in PBS with 0.05% sodium azide. |
Application |
|
---|---|
WB | 1/1000 |
IHC | 1/100-1/500 |
FCM | 1/10-1/50 |
Product Image
- C4BPA Antibody (C-term) (Cat. #P30780) western blot analysis in WiDr cell line lysates (35ug/lane).This demonstrates the C4BPA antibody detected the C4BPA protein (arrow).
- C4BPA Antibody (C-term) (Cat. #P30780) flow cytometric analysis of WiDr cells (right histogram) compared to a negative control cell (left histogram).FITC-conjugated goat-anti-rabbit secondary antibodies were used for the analysis.
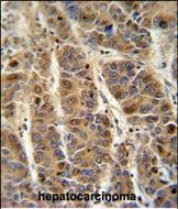
- C4BPA antibody (C-term) (Cat. #P30780) immunohistochemistry analysis in formalin fixed and paraffin embedded human hepatocarcinoma followed by peroxidase conjugation of the secondary antibody and DAB staining. This data demonstrates the use of the C4BPA antibody (C-term) for immunohistochemistry. Clinical relevance has not been evaluated.
For Reseach Only
Application Key:WB - Western Blot | IHC - Immunohistochemistry | ICC - Immunocytochemistry | FCM - Flow Cytometry | ELISA - Enzyme-linked Immunosorbent Assay | IP - Immunoprecipitation
#P30780

相关产品


