提醒成功

搜索
Rabbit Polyclonal Antibody to KIF9
-
货号:
P30779 -
别名:
Kinesin-like protein KIF9, KIF9 -
应用:
WB,IHC-P -
反应种属:
Human, Mouse -
抗体类型:
Primary antibody -
Swissprot:
Q9HAQ2 -
规格:
-
数量:
-+ -
说明书:
目录价¥1980

Rabbit Polyclonal Antibody to KIF9
Specification |
|
---|---|
Aliases | Kinesin-like protein KIF9, KIF9 |
Entrez GeneID | 64147 |
Swissprot | Q9HAQ2 |
WB Predicted band size | 90.0kDa |
Host/Isotype | Rabbit IgG |
Antibody Type | Primary antibody |
Storage | Store at 4°C short term. Aliquot and store at -20°C long term. Avoid freeze/thaw cycles. |
Species Reactivity | Human, Mouse |
Immunogen | This KIF9 antibody is generated from rabbits immunized with a KLH conjugated synthetic peptide between 581-609 amino acids from the C-terminal region of human KIF9. |
Formulation | Purified antibody in PBS with 0.05% sodium azide. |
Application |
|
---|---|
WB | 1/1000 |
IHC | 1/100-1/500 |
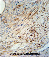
Product Image
- KIF9 Antibody (C-term) (Cat. #P30779) western blot analysis in mouse liver tissue lysates (15ug/lane).This demonstrates the KIF9 antibody detected KIF9 protein (arrow).
- KIF9 antibody (C-term) (Cat. #P30779) immunohistochemistry analysis in formalin fixed and paraffin embedded human prostate carcinoma followed by peroxidase conjugation of the secondary antibody and DAB staining. This data demonstrates the use of the KIF9 antibody (C-term) for immunohistochemistry. Clinical relevance has not been evaluated.
For Reseach Only
Application Key:WB - Western Blot | IHC - Immunohistochemistry | ICC - Immunocytochemistry | FCM - Flow Cytometry | ELISA - Enzyme-linked Immunosorbent Assay | IP - Immunoprecipitation
#P30779

相关产品


