提醒成功
搜索
Rabbit Polyclonal Antibody to BCAN
-
货号:
P30778 -
别名:
Brevican core protein, Brain-enriched hyaluronan-binding protein, BEHAB, Chondroitin sulfate proteoglycan 7, BCAN, BEHAB, CSPG7 -
应用:
WB,IHC-P,FCM -
反应种属:
Human -
抗体类型:
Primary antibody -
Swissprot:
Q96GW7 -
规格:
-
数量:
-+ -
说明书:
目录价¥1980
Rabbit Polyclonal Antibody to BCAN
Specification |
|
|---|---|
| Aliases | Brevican core protein, Brain-enriched hyaluronan-binding protein, BEHAB, Chondroitin sulfate proteoglycan 7, BCAN, BEHAB, CSPG7 |
| Entrez GeneID | 63827 |
| Swissprot | Q96GW7 |
| WB Predicted band size | 99.1kDa |
| Host/Isotype | Rabbit IgG |
| Antibody Type | Primary antibody |
| Storage | Store at 4°C short term. Aliquot and store at -20°C long term. Avoid freeze/thaw cycles. |
| Species Reactivity | Human |
| Immunogen | This BCAN antibody is generated from rabbits immunized with a KLH conjugated synthetic peptide between 715-741 amino acids from the C-terminal region of human BCAN. |
| Formulation | Purified antibody in PBS with 0.05% sodium azide. |
Application |
|
|---|---|
| WB | 1/1000 |
| IHC | 1/100-1/500 |
| FCM | 1/10-1/50 |
Product Image
- BCAN Antibody (C-term) (Cat. #P30778) western blot analysis in CEM cell line lysates (35ug/lane).This demonstrates the BCAN antibody detected the BCAN protein (arrow).
- BCAN Antibody (C-term) (Cat. #P30778) flow cytometric analysis of CEM cells (right histogram) compared to a negative control cell (left histogram).FITC-conjugated goat-anti-rabbit secondary antibodies were used for the analysis.
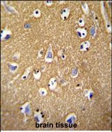
- BCAN antibody (C-term) (Cat. #P30778) immunohistochemistry analysis in formalin fixed and paraffin embedded human brain tissue followed by peroxidase conjugation of the secondary antibody and DAB staining.This data demonstrates the use of the BCAN antibody (C-term) for immunohistochemistry. Clinical relevance has not been evaluated.
For Reseach Only
Application Key:WB - Western Blot | IHC - Immunohistochemistry | ICC - Immunocytochemistry | FCM - Flow Cytometry | ELISA - Enzyme-linked Immunosorbent Assay | IP - Immunoprecipitation
#P30778
相关产品

微信/QQ登录


首页
