提醒成功
搜索
Rabbit Polyclonal Antibody to SMPD4 (N-term)
-
货号:
P30777 -
别名:
Sphingomyelin phosphodiesterase 4, Neutral sphingomyelinase 3, nSMase-3, nSMase3, Neutral sphingomyelinase III, SMPD4, KIAA1418 -
应用:
WB,IHC-P -
反应种属:
Human -
抗体类型:
Primary antibody -
Swissprot:
Q9NXE4 -
规格:
-
数量:
-+ -
说明书:
目录价¥1980
Rabbit Polyclonal Antibody to SMPD4 (N-term)
Specification |
|
|---|---|
| Aliases | Sphingomyelin phosphodiesterase 4, Neutral sphingomyelinase 3, nSMase-3, nSMase3, Neutral sphingomyelinase III, SMPD4, KIAA1418 |
| Entrez GeneID | 55627 |
| Swissprot | Q9NXE4 |
| WB Predicted band size | 97.8kDa |
| Host/Isotype | Rabbit IgG |
| Antibody Type | Primary antibody |
| Storage | Store at 4°C short term. Aliquot and store at -20°C long term. Avoid freeze/thaw cycles. |
| Species Reactivity | Human |
| Immunogen | This SMPD4 antibody is generated from rabbits immunized with a KLH conjugated synthetic peptide between 80-108 amino acids from the N-terminal region of human SMPD4. |
| Formulation | Purified antibody in PBS with 0.05% sodium azide. |
Application |
|
|---|---|
| WB | 1/1000 |
| IHC | 1/100-1/500 |
Product Image
- SMPD4 Antibody (N-term) (Cat. #P30777) western blot analysis in A2058 cell line lysates (35ug/lane).This demonstrates the SMPD4 antibody detected the SMPD4 protein (arrow).
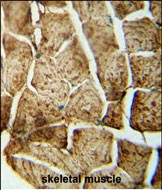
- SMPD4 antibody (N-term) (Cat. #P30777) immunohistochemistry analysis in formalin fixed and paraffin embedded human skeletal muscle followed by peroxidase conjugation of the secondary antibody and DAB staining. This data demonstrates the use of the SMPD4 antibody (N-term) for immunohistochemistry. Clinical relevance has not been evaluated.
For Reseach Only
Application Key:WB - Western Blot | IHC - Immunohistochemistry | ICC - Immunocytochemistry | FCM - Flow Cytometry | ELISA - Enzyme-linked Immunosorbent Assay | IP - Immunoprecipitation
#P30777
相关产品

微信/QQ登录


首页
