提醒成功

搜索
Rabbit Polyclonal Antibody to ANKRD57
-
货号:
P30716 -
别名:
Ankyrin repeat domain-containing protein SOWAHC, Ankyrin repeat domain-containing protein 57, Protein sosondowah homolog C, SOWAHC, ANKRD57, C2orf26 -
应用:
WB,IHC-P -
反应种属:
Human -
抗体类型:
Primary antibody -
Swissprot:
Q53LP3 -
规格:
-
数量:
-+ -
说明书:
目录价¥1980

Rabbit Polyclonal Antibody to ANKRD57
Specification |
|
---|---|
Aliases | Ankyrin repeat domain-containing protein SOWAHC, Ankyrin repeat domain-containing protein 57, Protein sosondowah homolog C, SOWAHC, ANKRD57, C2orf26 |
Entrez GeneID | 65124 |
Swissprot | Q53LP3 |
WB Predicted band size | 55.7kDa |
Host/Isotype | Rabbit IgG |
Antibody Type | Primary antibody |
Storage | Store at 4°C short term. Aliquot and store at -20°C long term. Avoid freeze/thaw cycles. |
Species Reactivity | Human |
Immunogen | This ANKRD57 antibody is generated from rabbits immunized with a KLH conjugated synthetic peptide between 479-507 amino acids from the C-terminal region of human ANKRD57. |
Formulation | Purified antibody in PBS with 0.05% sodium azide. |
Application |
|
---|---|
WB | 1/1000 |
IHC | 1/100-1/500 |
Product Image
- ANKRD57 Antibody (C-term) (Cat. #P30716) western blot analysis in MDA-MB231,HepG2,A549 cell line lysates (35ug/lane).This demonstrates the ANKRD57 antibody detected the ANKRD57 protein (arrow).
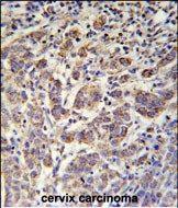
- ANKRD57 Antibody (C-term) (Cat. #P30716) immunohistochemistry analysis in formalin fixed and paraffin embedded human cervix carcinoma followed by peroxidase conjugation of the secondary antibody and DAB staining. This data demonstrates the use of the ANKRD57 Antibody (C-term) for immunohistochemistry. Clinical relevance has not been evaluated.
For Reseach Only
Application Key:WB - Western Blot | IHC - Immunohistochemistry | ICC - Immunocytochemistry | FCM - Flow Cytometry | ELISA - Enzyme-linked Immunosorbent Assay | IP - Immunoprecipitation
#P30716

相关产品


