提醒成功

搜索
Rabbit Polyclonal Antibody to PRNIP
-
货号:
P30715 -
别名:
ERI1 exoribonuclease 3, 31--, Prion interactor 1, Prion protein-interacting protein, ERI3, PINT1, PRNPIP, PRNPIP1 -
应用:
WB,IHC-P -
反应种属:
Human, Hamster -
抗体类型:
Primary antibody -
Swissprot:
O43414 -
规格:
-
数量:
-+ -
说明书:
目录价¥1980

Rabbit Polyclonal Antibody to PRNIP
Specification |
|
---|---|
Aliases | ERI1 exoribonuclease 3, 31--, Prion interactor 1, Prion protein-interacting protein, ERI3, PINT1, PRNPIP, PRNPIP1 |
Entrez GeneID | 79033 |
Swissprot | O43414 |
WB Predicted band size | 37.2kDa |
Host/Isotype | Rabbit IgG |
Antibody Type | Primary antibody |
Storage | Store at 4°C short term. Aliquot and store at -20°C long term. Avoid freeze/thaw cycles. |
Species Reactivity | Human, Hamster |
Immunogen | This PRNIP antibody is generated from rabbits immunized with a KLH conjugated synthetic peptide between 309-337 amino acids from the C-terminal region of human PRNIP. |
Formulation | Purified antibody in PBS with 0.05% sodium azide. |
Application |
|
---|---|
WB | 1/1000 |
IHC | 1/100-1/500 |
Product Image
- PRNIP Antibody (C-term) (Cat. #P30715) western blot analysis in CHO cell line lysates (15ug/lane).This demonstrates the PRNIP antibody detected the PRNIP protein (arrow).
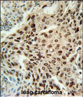
- PRNIP Antibody (C-term) (Cat. #P30715) immunohistochemistry analysis in formalin fixed and paraffin embedded human lung carcinoma followed by peroxidase conjugation of the secondary antibody and DAB staining. This data demonstrates the use of the PRNIP Antibody (C-term) for immunohistochemistry. Clinical relevance has not been evaluated.
For Reseach Only
Application Key:WB - Western Blot | IHC - Immunohistochemistry | ICC - Immunocytochemistry | FCM - Flow Cytometry | ELISA - Enzyme-linked Immunosorbent Assay | IP - Immunoprecipitation
#P30715

相关产品


