提醒成功

搜索
Rabbit Polyclonal Antibody to CCYL1 (N-term)
-
货号:
P30712 -
别名:
Cyclin-Y-like protein 1, CCNYL1 -
应用:
WB,IHC-P -
反应种属:
Human, Hamster -
抗体类型:
Primary antibody -
Swissprot:
Q8N7R7 -
规格:
-
数量:
-+ -
说明书:
目录价¥1980

Rabbit Polyclonal Antibody to CCYL1 (N-term)
Description |
---|
CCNYL1 belongs to the cyclin family, Cyclin Y subfamily and contains 1 cyclin N terminal domain. The specific function of CCNYL1 is not yet known. |
Specification |
|
---|---|
Aliases | Cyclin-Y-like protein 1, CCNYL1 |
Entrez GeneID | 151195 |
Swissprot | Q8N7R7 |
WB Predicted band size | 40.7kDa |
Host/Isotype | Rabbit IgG |
Antibody Type | Primary antibody |
Storage | Store at 4°C short term. Aliquot and store at -20°C long term. Avoid freeze/thaw cycles. |
Species Reactivity | Human, Hamster |
Immunogen | This CCYL1 antibody is generated from rabbits immunized with a KLH conjugated synthetic peptide between 41-70 amino acids from the N-terminal region of human CCYL1. |
Formulation | Purified antibody in PBS with 0.05% sodium azide. |
Application |
|
---|---|
WB | 1/1000 |
IHC | 1/100-1/500 |
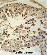
Product Image
- CCYL1 Antibody (N-term) (Cat. #P30712) western blot analysis in WiDr cell line lysates (35ug/lane).This demonstrates the CCYL1 antibody detected the CCYL1 protein (arrow).
- CCYL1 Antibody (N-term) (Cat. #P30712) western blot analysis in CHO cell line lysates (35ug/lane).This demonstrates the CCYL1 antibody detected the CCYL1 protein (arrow).
- CCYL1 Antibody (N-term) (Cat. #P30712) immunohistochemistry analysis in formalin fixed and paraffin embedded human testis tissue followed by peroxidase conjugation of the secondary antibody and DAB staining. This data demonstrates the use of the CCYL1 Antibody (N-term) for immunohistochemistry. Clinical relevance has not been evaluated.
For Reseach Only
Application Key:WB - Western Blot | IHC - Immunohistochemistry | ICC - Immunocytochemistry | FCM - Flow Cytometry | ELISA - Enzyme-linked Immunosorbent Assay | IP - Immunoprecipitation
#P30712

相关产品


