提醒成功

搜索
Rabbit Polyclonal Antibody to N4BP3 (N-term)
-
货号:
P30706 -
别名:
NEDD4-binding protein 3, N4BP3, N4BP3, KIAA0341 -
应用:
WB,IHC-P -
反应种属:
Human -
抗体类型:
Primary antibody -
Swissprot:
O15049 -
规格:
-
数量:
-+ -
说明书:
目录价¥1980

Rabbit Polyclonal Antibody to N4BP3 (N-term)
Specification |
|
---|---|
Aliases | NEDD4-binding protein 3, N4BP3, N4BP3, KIAA0341 |
Entrez GeneID | 23138 |
Swissprot | O15049 |
WB Predicted band size | 60.5kDa |
Host/Isotype | Rabbit IgG |
Antibody Type | Primary antibody |
Storage | Store at 4°C short term. Aliquot and store at -20°C long term. Avoid freeze/thaw cycles. |
Species Reactivity | Human |
Immunogen | This N4BP3 antibody is generated from rabbits immunized with a KLH conjugated synthetic peptide between 50-79 amino acids from the N-terminal region of human N4BP3. |
Formulation | Purified antibody in PBS with 0.05% sodium azide. |
Application |
|
---|---|
WB | 1/1000 |
IHC | 1/100-1/500 |
Product Image
- N4BP3 Antibody (N-term) (Cat. #P30706) western blot analysis in ZR-75-1 cell line lysates (15ug/lane).This demonstrates the N4BP3 antibody detected the N4BP3 protein (arrow).
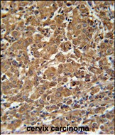
- N4BP3 Antibody (N-term) (Cat. #P30706) immunohistochemistry analysis in formalin fixed and paraffin embedded human cervix carcinoma followed by peroxidase conjugation of the secondary antibody and DAB staining. This data demonstrates the use of the N4BP3 Antibody (N-term) for immunohistochemistry. Clinical relevance has not been evaluated.
For Reseach Only
Application Key:WB - Western Blot | IHC - Immunohistochemistry | ICC - Immunocytochemistry | FCM - Flow Cytometry | ELISA - Enzyme-linked Immunosorbent Assay | IP - Immunoprecipitation
#P30706

相关产品


