提醒成功

搜索
Rabbit Polyclonal Antibody to FLJ11506
-
货号:
P30687 -
别名:
Alpha- and gamma-adaptin-binding protein p34, AAGAB -
应用:
WB,IHC-P,FCM -
反应种属:
Human -
抗体类型:
Primary antibody -
Swissprot:
Q6PD74 -
规格:
-
数量:
-+ -
说明书:
目录价¥1980

Rabbit Polyclonal Antibody to FLJ11506
Description |
---|
FLJ11506 may play a role in membrane traffic |
Specification |
|
---|---|
Aliases | Alpha- and gamma-adaptin-binding protein p34, AAGAB |
Entrez GeneID | 79719 |
Swissprot | Q6PD74 |
WB Predicted band size | 34.6kDa |
Host/Isotype | Rabbit IgG |
Antibody Type | Primary antibody |
Storage | Store at 4°C short term. Aliquot and store at -20°C long term. Avoid freeze/thaw cycles. |
Species Reactivity | Human |
Immunogen | This FLJ11506 antibody is generated from rabbits immunized with a KLH conjugated synthetic peptide between 286-313 amino acids from the C-terminal region of human FLJ11506. |
Formulation | Purified antibody in PBS with 0.05% sodium azide. |
Application |
|
---|---|
WB | 1/1000 |
IHC | 1/100-1/500 |
FCM | 1/10-1/50 |
Product Image
- FLJ11506 Antibody (C-term) (Cat.#P30687) western blot analysis in 293 cell line lysates (35ug/lane).This demonstrates the FLJ11506 antibody detected the FLJ11506 protein (arrow).
- FLJ11506 Antibody (C-term) (Cat. #P30687) flow cytometric analysis of 293 cells (right histogram) compared to a negative control cell (left histogram).FITC-conjugated goat-anti-rabbit secondary antibodies were used for the analysis.
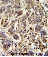
- FLJ11506 Antibody (C-term) (Cat. #P30687) immunohistochemistry analysis in formalin fixed and paraffin embedded human cervix carcinoma followed by peroxidase conjugation of the secondary antibody and DAB staining. This data demonstrates the use of the FLJ11506 Antibody (C-term) for immunohistochemistry. Clinical relevance has not been evaluated.
For Reseach Only
Application Key:WB - Western Blot | IHC - Immunohistochemistry | ICC - Immunocytochemistry | FCM - Flow Cytometry | ELISA - Enzyme-linked Immunosorbent Assay | IP - Immunoprecipitation
#P30687

相关产品


