提醒成功

搜索
Rabbit Polyclonal Antibody to SYT13 (N-term)
-
货号:
P30686 -
别名:
Synaptotagmin-13, Synaptotagmin XIII, SytXIII, SYT13, KIAA1427 -
应用:
WB,IHC-P -
反应种属:
Human -
抗体类型:
Primary antibody -
Swissprot:
Q7L8C5 -
规格:
-
数量:
-+ -
说明书:
目录价¥1980

Rabbit Polyclonal Antibody to SYT13 (N-term)
Description |
---|
SYT13 belongs to the large synaptotagmin protein family. All synaptotagmins show type I membrane topology, with an extracellular N terminus, a single transmembrane region, and a cytoplasmic C terminus containing tandem C2 domains. Major functions of synaptotagmins include vesicular traffic, exocytosis, and secretion. |
Specification |
|
---|---|
Aliases | Synaptotagmin-13, Synaptotagmin XIII, SytXIII, SYT13, KIAA1427 |
Entrez GeneID | 57586 |
Swissprot | Q7L8C5 |
WB Predicted band size | 46.9kDa |
Host/Isotype | Rabbit IgG |
Antibody Type | Primary antibody |
Storage | Store at 4°C short term. Aliquot and store at -20°C long term. Avoid freeze/thaw cycles. |
Species Reactivity | Human |
Immunogen | This SYT13 antibody is generated from rabbits immunized with a KLH conjugated synthetic peptide between 25-52 amino acids from the N-terminal region of human SYT13. |
Formulation | Purified antibody in PBS with 0.05% sodium azide. |
Application |
|
---|---|
WB | 1/1000 |
IHC | 1/100-1/500 |
Product Image
- SYT13 Antibody (N-term) (Cat.#P30686) western blot analysis in K562 cell line lysates (35ug/lane).This demonstrates the SYT13 antibody detected the SYT13 protein (arrow).
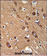
- SYT13 Antibody (N-term) (Cat. #P30686) immunohistochemistry analysis in formalin fixed and paraffin embedded human brain tissue followed by peroxidase conjugation of the secondary antibody and DAB staining. This data demonstrates the use of the SYT13 Antibody (N-term) for immunohistochemistry. Clinical relevance has not been evaluated.
For Reseach Only
Application Key:WB - Western Blot | IHC - Immunohistochemistry | ICC - Immunocytochemistry | FCM - Flow Cytometry | ELISA - Enzyme-linked Immunosorbent Assay | IP - Immunoprecipitation
#P30686

相关产品


