提醒成功
搜索
Rabbit Polyclonal Antibody to CYC1
-
货号:
P30668 -
别名:
Cytochrome c1, heme protein, mitochondrial, Complex III subunit 4, Complex III subunit IV, Cytochrome b-c1 complex subunit 4, Ubiquinol-cytochrome-c reductase complex cytochrome c1 subunit, Cytochrome c-1, CYC1 -
应用:
WB,IHC-P,FCM -
反应种属:
Human -
抗体类型:
Primary antibody -
Swissprot:
P08574 -
规格:
-
数量:
-+ -
说明书:
目录价¥1980
Rabbit Polyclonal Antibody to CYC1
Description |
|---|
This is the heme-containing component of the cytochrome b-c1 complex, which accepts electrons from Rieske protein and transfers electrons to cytochrome c in the mitochondrial respiratory chain. |
Specification |
|
|---|---|
| Aliases | Cytochrome c1, heme protein, mitochondrial, Complex III subunit 4, Complex III subunit IV, Cytochrome b-c1 complex subunit 4, Ubiquinol-cytochrome-c reductase complex cytochrome c1 subunit, Cytochrome c-1, CYC1 |
| Entrez GeneID | 1537 |
| Swissprot | P08574 |
| WB Predicted band size | 35.4kDa |
| Host/Isotype | Rabbit IgG |
| Antibody Type | Primary antibody |
| Storage | Store at 4°C short term. Aliquot and store at -20°C long term. Avoid freeze/thaw cycles. |
| Species Reactivity | Human |
| Immunogen | This CYC1 antibody is generated from rabbits immunized with a KLH conjugated synthetic peptide between 259-287 amino acids from the C-terminal region of human CYC1. |
| Formulation | Purified antibody in PBS with 0.05% sodium azide. |
Application |
|
|---|---|
| WB | 1/1000 |
| IHC | 1/100-1/500 |
| FCM | 1/10-1/50 |
Product Image
- CYC1 Antibody (C-term) (Cat. #P30668) western blot analysis in Hela,MCF-7 cell line lysates (35ug/lane).This demonstrates the CYC1 antibody detected the CYC1 protein (arrow).
- CYC1 Antibody (C-term) (Cat. #P30668) flow cytometric analysis of Hela cells (right histogram) compared to a negative control cell (left histogram).FITC-conjugated goat-anti-rabbit secondary antibodies were used for the analysis.
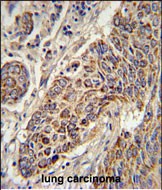
- CYC1 Antibody (C-term) (Cat. #P30668) immunohistochemistry analysis in formalin fixed and paraffin embedded human lung carcinoma followed by peroxidase conjugation of the secondary antibody and DAB staining. This data demonstrates the use of the CYC1 Antibody (C-term) for immunohistochemistry. Clinical relevance has not been evaluated.
For Reseach Only
Application Key:WB - Western Blot | IHC - Immunohistochemistry | ICC - Immunocytochemistry | FCM - Flow Cytometry | ELISA - Enzyme-linked Immunosorbent Assay | IP - Immunoprecipitation
#P30668
相关产品

微信/QQ登录


首页
