提醒成功
搜索
Rabbit Polyclonal Antibody to TPC6A (N-term)
-
货号:
P30665 -
别名:
Trafficking protein particle complex subunit 6A, TRAPP complex subunit 6A, TRAPPC6A -
应用:
WB,IHC-P,FCM -
反应种属:
Human -
抗体类型:
Primary antibody -
Swissprot:
O75865 -
规格:
-
数量:
-+ -
说明书:
目录价¥1980
Rabbit Polyclonal Antibody to TPC6A (N-term)
Description |
|---|
TRAPPC6A is a subunit of the TRAPP I and II complexes. |
Specification |
|
|---|---|
| Aliases | Trafficking protein particle complex subunit 6A, TRAPP complex subunit 6A, TRAPPC6A |
| Entrez GeneID | 79090 |
| Swissprot | O75865 |
| WB Predicted band size | 17.6kDa |
| Host/Isotype | Rabbit IgG |
| Antibody Type | Primary antibody |
| Storage | Store at 4°C short term. Aliquot and store at -20°C long term. Avoid freeze/thaw cycles. |
| Species Reactivity | Human |
| Immunogen | This TPC6A antibody is generated from rabbits immunized with a KLH conjugated synthetic peptide between 34-62 amino acids from the N-terminal region of human TPC6A. |
| Formulation | Purified antibody in PBS with 0.05% sodium azide. |
Application |
|
|---|---|
| WB | 1/1000 |
| IHC | 1/100-1/500 |
| FCM | 1/10-1/50 |
Product Image
- TPC6A Antibody (N-term)(Cat. #P30665)western blot analysis in Jurkat cell line lysates (35ug/lane). ?This demonstrates the TPC6A antibody detected the TPC6A protein (arrow).
- TPC6A Antibody (N-term) (Cat. #P30665) flow cytometric analysis of Jurkat cells (bottom histogram) compared to a negative control cell (top histogram).FITC-conjugated goat-anti-rabbit secondary antibodies were used for the analysis.
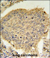
- TPC6A Antibody (N-term) (Cat. #P30665) IHC analysis in formalin fixed and paraffin embedded human lung carcinoma followed by peroxidase conjugation of the secondary antibody and DAB staining. This data demonstrates the use of the TPC6A Antibody (N-term) for immunohistochemistry. Clinical relevance has not been evaluated.
For Reseach Only
Application Key:WB - Western Blot | IHC - Immunohistochemistry | ICC - Immunocytochemistry | FCM - Flow Cytometry | ELISA - Enzyme-linked Immunosorbent Assay | IP - Immunoprecipitation
#P30665
相关产品

微信/QQ登录


首页
