提醒成功
搜索
Rabbit Polyclonal Antibody to SCRN1 (N-term)
-
货号:
P30660 -
别名:
Secernin-1, SCRN1, KIAA0193 -
应用:
WB,IHC-P,FCM -
反应种属:
Human -
抗体类型:
Primary antibody -
Swissprot:
Q12765 -
规格:
-
数量:
-+ -
说明书:
目录价¥1980
Rabbit Polyclonal Antibody to SCRN1 (N-term)
Description |
|---|
This gene likely encodes a member of the secernin family of proteins. A similar protein in rat functions in regulation of exocytosis in mast cells. Alternatively spliced transcript variants have been described. |
Specification |
|
|---|---|
| Aliases | Secernin-1, SCRN1, KIAA0193 |
| Entrez GeneID | 9805 |
| Swissprot | Q12765 |
| WB Predicted band size | 46.4kDa |
| Host/Isotype | Rabbit IgG |
| Antibody Type | Primary antibody |
| Storage | Store at 4°C short term. Aliquot and store at -20°C long term. Avoid freeze/thaw cycles. |
| Species Reactivity | Human |
| Immunogen | This SCRN1 antibody is generated from rabbits immunized with a KLH conjugated synthetic peptide between 10-37 amino acids from the N-terminal region of human SCRN1. |
| Formulation | Purified antibody in PBS with 0.05% sodium azide. |
Application |
|
|---|---|
| WB | 1/1000 |
| IHC | 1/100-1/500 |
| FCM | 1/10-1/50 |
Product Image
- Western blot analysis of lysate from U-251 MG cell line, using SCRN1 Antibody (N-term)(Cat. #P30660). P30660 was diluted at 1:1000 at each lane. A goat anti-rabbit IgG H&L(HRP) at 1:5000 dilution was used as the secondary antibody. Lysate at 35ug per lane.
- SCRN1 Antibody (N-term) (Cat. #P30660) flow cytometric analysis of U251 cells (right histogram) compared to a negative control cell (left histogram).FITC-conjugated goat-anti-rabbit secondary antibodies were used for the analysis.
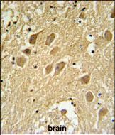
- SCRN1 Antibody (N-term) (Cat. #P30660) IHC analysis in formalin fixed and paraffin embedded human brain tissue followed by peroxidase conjugation of the secondary antibody and DAB staining. This data demonstrates the use of the SCRN1 Antibody (N-term) for immunohistochemistry. Clinical relevance has not been evaluated.
For Reseach Only
Application Key:WB - Western Blot | IHC - Immunohistochemistry | ICC - Immunocytochemistry | FCM - Flow Cytometry | ELISA - Enzyme-linked Immunosorbent Assay | IP - Immunoprecipitation
#P30660
相关产品

微信/QQ登录


首页
