提醒成功

搜索
Rabbit Polyclonal Antibody to SGF29 (C-term)
-
货号:
P30636 -
别名:
SAGA-associated factor 29 homolog, Coiled-coil domain-containing protein 101, CCDC101, SGF29 -
应用:
WB,IHC-P,FCM -
反应种属:
Human -
抗体类型:
Primary antibody -
Swissprot:
Q96ES7 -
规格:
-
数量:
-+ -
说明书:
目录价¥1980

Rabbit Polyclonal Antibody to SGF29 (C-term)
Description |
---|
CCDC101 is a subunit of 2 histone acetyltransferase complexes: the ADA2A (TADA2A; MIM 602276)-containing (ATAC) complex and the SPT3 (SUPT3H; MIM 602947)-TAF9 (MIM 600822)-GCN5 (KAT2A; MIM 602301)/PCAF (KAT2B; MIM 602303) acetylase (STAGA) complex. Both of these complexes contain either GCN5 or PCAF, which are paralogous acetyltransferases. |
Specification |
|
---|---|
Aliases | SAGA-associated factor 29 homolog, Coiled-coil domain-containing protein 101, CCDC101, SGF29 |
Entrez GeneID | 112869 |
Swissprot | Q96ES7 |
WB Predicted band size | 33.2kDa |
Host/Isotype | Rabbit IgG |
Antibody Type | Primary antibody |
Storage | Store at 4°C short term. Aliquot and store at -20°C long term. Avoid freeze/thaw cycles. |
Species Reactivity | Human |
Immunogen | This SGF29 antibody is generated from rabbits immunized with a KLH conjugated synthetic peptide between 179-208 amino acids from the C-terminal region of human SGF29. |
Formulation | Purified antibody in PBS with 0.05% sodium azide. |
Application |
|
---|---|
WB | 1/1000 |
IHC | 1/100-1/500 |
FCM | 1/10-1/50 |
Product Image
- Western blot analysis of SGF29 Antibody (C-term) (Cat. #P30636) in MDA-MB435 cell line lysates (35ug/lane).SGF29 (arrow) was detected using the purified Pab.
- SGF29 Antibody (C-term) (Cat. #P30636) flow cytometric analysis of MDA-MB435 cells (right histogram) compared to a negative control cell (left histogram).FITC-conjugated goat-anti-rabbit secondary antibodies were used for the analysis.
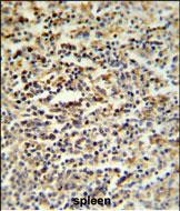
- SGF29 Antibody (C-term) (Cat. #P30636) IHC analysis in formalin fixed and paraffin embedded human spleen tissue followed by peroxidase conjugation of the secondary antibody and DAB staining. This data demonstrates the use of the SGF29 Antibody (C-term) for immunohistochemistry. Clinical relevance has not been evaluated.
For Reseach Only
Application Key:WB - Western Blot | IHC - Immunohistochemistry | ICC - Immunocytochemistry | FCM - Flow Cytometry | ELISA - Enzyme-linked Immunosorbent Assay | IP - Immunoprecipitation
#P30636

相关产品


