提醒成功

搜索
Rabbit Polyclonal Antibody to FA40B (N-term)
-
货号:
P30634 -
别名:
Striatin-interacting protein 2, Protein FAM40B, STRIP2, FAM40B, KIAA1170 -
应用:
WB,IHC-P -
反应种属:
Human, Mouse -
抗体类型:
Primary antibody -
Swissprot:
Q9ULQ0 -
规格:
-
数量:
-+ -
说明书:
目录价¥1980

Rabbit Polyclonal Antibody to FA40B (N-term)
Description |
---|
The function of this protein has not been specifically defined. |
Specification |
|
---|---|
Aliases | Striatin-interacting protein 2, Protein FAM40B, STRIP2, FAM40B, KIAA1170 |
Entrez GeneID | 57464 |
Swissprot | Q9ULQ0 |
WB Predicted band size | 95.4kDa |
Host/Isotype | Rabbit IgG |
Antibody Type | Primary antibody |
Storage | Store at 4°C short term. Aliquot and store at -20°C long term. Avoid freeze/thaw cycles. |
Species Reactivity | Human, Mouse |
Immunogen | This FA40B antibody is generated from rabbits immunized with a KLH conjugated synthetic peptide between 14-41 amino acids from the N-terminal region of human FA40B. |
Formulation | Purified antibody in PBS with 0.05% sodium azide. |
Application |
|
---|---|
WB | 1/1000 |
IHC | 1/100-1/500 |
Product Image
- Western blot analysis of FA40B Antibody (N-term) (Cat. #P30634) in mouse kidney tissue lysates (35ug/lane).FA40B (arrow) was detected using the purified Pab.
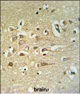
- FA40B Antibody (N-term) (Cat. #P30634) IHC analysis in formalin fixed and paraffin embedded human brain tissue followed by peroxidase conjugation of the secondary antibody and DAB staining. This data demonstrates the use of the FA40B Antibody (N-term) for immunohistochemistry. Clinical relevance has not been evaluated.
For Reseach Only
Application Key:WB - Western Blot | IHC - Immunohistochemistry | ICC - Immunocytochemistry | FCM - Flow Cytometry | ELISA - Enzyme-linked Immunosorbent Assay | IP - Immunoprecipitation
#P30634

相关产品


