提醒成功
搜索
Rabbit Polyclonal Antibody to IN80D (N-term)
-
货号:
P30627 -
别名:
INO80 complex subunit D, INO80D -
应用:
WB,IHC-P -
反应种属:
Human, Mouse -
抗体类型:
Primary antibody -
Swissprot:
Q53TQ3 -
规格:
-
数量:
-+ -
说明书:
目录价¥1980
Rabbit Polyclonal Antibody to IN80D (N-term)
Specification |
|
|---|---|
| Aliases | INO80 complex subunit D, INO80D |
| Entrez GeneID | 54891 |
| Swissprot | Q53TQ3 |
| WB Predicted band size | 113.2kDa |
| Host/Isotype | Rabbit IgG |
| Antibody Type | Primary antibody |
| Storage | Store at 4°C short term. Aliquot and store at -20°C long term. Avoid freeze/thaw cycles. |
| Species Reactivity | Human, Mouse |
| Immunogen | This IN80D antibody is generated from rabbits immunized with a KLH conjugated synthetic peptide between 63-91 amino acids from the N-terminal region of human IN80D. |
| Formulation | Purified antibody in PBS with 0.05% sodium azide. |
Application |
|
|---|---|
| WB | 1/1000 |
| IHC | 1/100-1/500 |
Product Image
- Western blot analysis of IN80D Antibody (N-term) (Cat. #P30627) in mouse liver tissue lysates (35ug/lane).IN80D (arrow) was detected using the purified Pab.
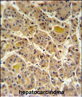
- IN80D Antibody (N-term) (Cat. #P30627) IHC analysis in formalin fixed and paraffin embedded human hepatocarcinoma followed by peroxidase conjugation of the secondary antibody and DAB staining. This data demonstrates the use of the IN80D Antibody (N-term) for immunohistochemistry. Clinical relevance has not been evaluated.
For Reseach Only
Application Key:WB - Western Blot | IHC - Immunohistochemistry | ICC - Immunocytochemistry | FCM - Flow Cytometry | ELISA - Enzyme-linked Immunosorbent Assay | IP - Immunoprecipitation
#P30627
相关产品

微信/QQ登录


首页
