提醒成功

搜索
Mouse Monoclonal Antibody to HOXB4
-
货号:
30629 -
别名:
HOX2; HOX2F; HOX-2.6 -
应用:
IHC -
反应种属:
Human -
抗体类型:
Primary antibody -
Swissprot:
P17483 -
规格:
-
数量:
-+ -
说明书:
目录价¥2180

Mouse Monoclonal Antibody to HOXB4
Description |
---|
This gene is a member of the Antp homeobox family and encodes a nuclear protein with a homeobox DNA-binding domain. It is included in a cluster of homeobox B genes located on chromosome 17. The encoded protein functions as a sequence-specific transcription factor that is involved in development. Intracellular or ectopic expression of this protein expands hematopoietic stem and progenitor cells in vivo and in vitro, making it a potential candidate for therapeutic stem cell expansion. |
References |
---|
1. Blood. 2012 May 10;119(19):e139-47. 2. J Cancer Res Clin Oncol. 2012 Feb;138(2):293-300. |
Specification |
|
---|---|
Aliases | HOX2; HOX2F; HOX-2.6 |
Entrez GeneID | 3214 |
Swissprot | P17483 |
clone | 3A2F2 |
WB Predicted band size | 27.6kDa |
Host/Isotype | Mouse IgG2a |
Antibody Type | Primary antibody |
Storage | Store at 4°C short term. Aliquot and store at -20°C long term. Avoid freeze/thaw cycles. |
Species Reactivity | Human |
Immunogen | Purified recombinant fragment of human HOXB4 (AA: 16-251) expressed in E. Coli. |
Formulation | Purified antibody in PBS with 0.05% sodium azide. |
Application |
|
---|---|
IHC | 1/200 - 1/1000 |
ELISA | 1/10000 |
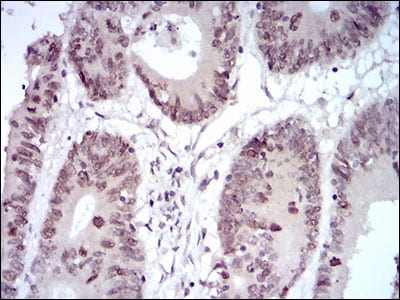
Product Image
- Black line: Control Antigen (100 ng); Purple line: Antigen(10ng); Blue line: Antigen (50 ng); Red line: Antigen (100 ng);
- Immunohistochemical analysis of paraffin-embedded human rectum cancer tissues using HOXB4 mouse mAb with DAB staining.
- Immunohistochemical analysis of paraffin-embedded human colon cancer tissues using HOXB4 mouse mAb with DAB staining.
For Reseach Only
Application Key:WB - Western Blot | IHC - Immunohistochemistry | ICC - Immunocytochemistry | FCM - Flow Cytometry | ELISA - Enzyme-linked Immunosorbent Assay | IP - Immunoprecipitation
#30629

相关产品


