提醒成功
搜索
Rabbit Polyclonal Antibody to ATHL1
-
货号:
P30620 -
别名:
Acid trehalase-like protein 1, 321-, ATHL1 -
应用:
WB,IHC-P,FCM -
反应种属:
Human -
抗体类型:
Primary antibody -
Swissprot:
Q32M88 -
规格:
-
数量:
-+ -
说明书:
目录价¥1980
Rabbit Polyclonal Antibody to ATHL1
Specification |
|
|---|---|
| Aliases | Acid trehalase-like protein 1, 321-, ATHL1 |
| Entrez GeneID | 80162 |
| Swissprot | Q32M88 |
| WB Predicted band size | 80.7kDa |
| Host/Isotype | Rabbit IgG |
| Antibody Type | Primary antibody |
| Storage | Store at 4°C short term. Aliquot and store at -20°C long term. Avoid freeze/thaw cycles. |
| Species Reactivity | Human |
| Immunogen | This ATHL1 antibody is generated from rabbits immunized with a KLH conjugated synthetic peptide between 688-716 amino acids from the C-terminal region of human ATHL1. |
| Formulation | Purified antibody in PBS with 0.05% sodium azide. |
Application |
|
|---|---|
| WB | 1/1000 |
| IHC | 1/100-1/500 |
| FCM | 1/10-1/50 |
Product Image
- Western blot analysis of ATHL1 Antibody (C-term) (Cat. #P30620) in MDA-MB435 cell line lysates (35ug/lane). ATHL1 (arrow) was detected using the purified Pab.
- ATHL1 Antibody (C-term) (Cat. #P30620) flow cytometric analysis of MDA-MB435 cells (right histogram) compared to a negative control cell (left histogram).FITC-conjugated goat-anti-rabbit secondary antibodies were used for the analysis.
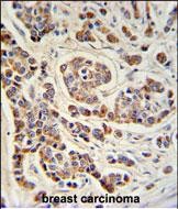
- ATHL1 Antibody (C-term) (Cat. #P30620) IHC analysis in formalin fixed and paraffin embedded human breast carcinoma followed by peroxidase conjugation of the secondary antibody and DAB staining. This data demonstrates the use of the ATHL1 Antibody (C-term) for immunohistochemistry. Clinical relevance has not been evaluated.
For Reseach Only
Application Key:WB - Western Blot | IHC - Immunohistochemistry | ICC - Immunocytochemistry | FCM - Flow Cytometry | ELISA - Enzyme-linked Immunosorbent Assay | IP - Immunoprecipitation
#P30620
相关产品

微信/QQ登录


首页
