提醒成功

搜索
Mouse Monoclonal Antibody to CD68
-
货号:
30621 -
别名:
GP110; LAMP4; SCARD1 -
应用:
WB,IHC,IF,FCM -
反应种属:
Human -
抗体类型:
Primary antibody -
Swissprot:
P34810 -
规格:
-
数量:
-+ -
说明书:
目录价¥2180

Mouse Monoclonal Antibody to CD68
Description |
---|
This gene encodes a 110-kD transmembrane glycoprotein that is highly expressed by human monocytes and tissue macrophages. It is a member of the lysosomal/endosomal-associated membrane glycoprotein (LAMP) family. The protein primarily localizes to lysosomes and endosomes with a smaller fraction circulating to the cell surface. It is a type I integral membrane protein with a heavily glycosylated extracellular domain and binds to tissue- and organ-specific lectins or selectins. The protein is also a member of the scavenger receptor family. Scavenger receptors typically function to clear cellular debris, promote phagocytosis, and mediate the recruitment and activation of macrophages. Alternative splicing results in multiple transcripts encoding different isoforms. |
References |
---|
1. Rom J Morphol Embryol. 2012;53(1):61-6. 2. Anticancer Res. 2009 Aug;29(8):3269-79. |
Specification |
|
---|---|
Aliases | GP110; LAMP4; SCARD1 |
Entrez GeneID | 968 |
Swissprot | P34810 |
clone | 3F7D3 |
WB Predicted band size | 37.4kDa |
Host/Isotype | Mouse IgG1 |
Antibody Type | Primary antibody |
Storage | Store at 4°C short term. Aliquot and store at -20°C long term. Avoid freeze/thaw cycles. |
Species Reactivity | Human |
Immunogen | Purified recombinant fragment of human CD68 (AA: 42-155) expressed in E. Coli. |
Formulation | Purified antibody in PBS with 0.05% sodium azide. |
Application |
|
---|---|
WB | 1/500 - 1/2000 |
IHC | 1/200 - 1/1000 |
IF/ICC | 1/200 - 1/1000 |
FCM | 1/200 - 1/400 |
ELISA | 1/10000 |
Product Image
- Black line: Control Antigen (100 ng); Purple line: Antigen(10ng); Blue line: Antigen (50 ng); Red line: Antigen (100 ng);
- Western blot analysis using CD68 mouse mAb against U937 (1), Hela (2), HepG2 (3), Jurkat (4) cell lysate.
- Immunofluorescence analysis of Hela cells using CD68 mouse mAb (green). Blue: DRAQ5 fluorescent DNA dye.
- Flow cytometric analysis of Hela cells using CD68 mouse mAb (green) and negative control (red).
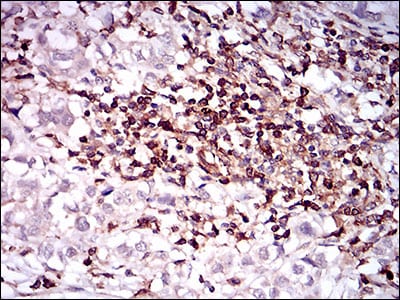
- Immunohistochemical analysis of paraffin-embedded human endometrial cancer tissues using CD68 mouse mAb with DAB staining.
- Immunohistochemical analysis of paraffin-embedded human bladder cancer tissues using CD68 mouse mAb with DAB staining.
For Reseach Only
Application Key:WB - Western Blot | IHC - Immunohistochemistry | ICC - Immunocytochemistry | FCM - Flow Cytometry | ELISA - Enzyme-linked Immunosorbent Assay | IP - Immunoprecipitation
#30621

相关产品


