提醒成功

搜索
Rabbit Polyclonal Antibody to PTPLB (C-term)
-
货号:
P30617 -
别名:
Very-long-chain (3R)-3-hydroxyacyl-CoA dehydratase 2, 3-hydroxyacyl-CoA dehydratase 2, HACD2, Protein-tyrosine phosphatase-like member B, PTPLB, HACD2 -
应用:
WB,IHC-P,FCM -
反应种属:
Human -
抗体类型:
Primary antibody -
Swissprot:
Q6Y1H2 -
规格:
-
数量:
-+ -
说明书:
目录价¥1980

Rabbit Polyclonal Antibody to PTPLB (C-term)
Description |
---|
PTPLB is probable anti-phosphatase. |
Specification |
|
---|---|
Aliases | Very-long-chain (3R)-3-hydroxyacyl-CoA dehydratase 2, 3-hydroxyacyl-CoA dehydratase 2, HACD2, Protein-tyrosine phosphatase-like member B, PTPLB, HACD2 |
Entrez GeneID | 201562 |
Swissprot | Q6Y1H2 |
WB Predicted band size | 28.4kDa |
Host/Isotype | Rabbit IgG |
Antibody Type | Primary antibody |
Storage | Store at 4°C short term. Aliquot and store at -20°C long term. Avoid freeze/thaw cycles. |
Species Reactivity | Human |
Immunogen | This PTPLB antibody is generated from rabbits immunized with a KLH conjugated synthetic peptide between 226-254 amino acids from the C-terminal region of human PTPLB. |
Formulation | Purified antibody in PBS with 0.05% sodium azide. |
Application |
|
---|---|
WB | 1/1000 |
IHC | 1/100-1/500 |
FCM | 1/10-1/50 |
Product Image
- Western blot analysis of lysate from MCF-7 cell line, using PTPLB Antibody (C-term)(Cat. #P30617). P30617 was diluted at 1:1000 at each lane. A goat anti-rabbit IgG H&L(HRP) at 1:5000 dilution was used as the secondary antibody. Lysate at 35ug per lane.
- PTPLB Antibody (C-term) (Cat. #P30617) flow cytometric analysis of Hela cells (right histogram) compared to a negative control cell (left histogram).FITC-conjugated goat-anti-rabbit secondary antibodies were used for the analysis.
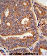
- PTPLB Antibody (C-term) (Cat. #P30617) immunohistochemistry analysis in formalin fixed and paraffin embedded human prostate carcinoma followed by peroxidase conjugation of the secondary antibody and DAB staining. This data demonstrates the use of the PTPLB Antibody (C-term) for immunohistochemistry. Clinical relevance has not been evaluated.
For Reseach Only
Application Key:WB - Western Blot | IHC - Immunohistochemistry | ICC - Immunocytochemistry | FCM - Flow Cytometry | ELISA - Enzyme-linked Immunosorbent Assay | IP - Immunoprecipitation
#P30617

相关产品


