提醒成功

搜索
Rabbit Polyclonal Antibody to PAN3 (C-term)
-
货号:
P30612 -
别名:
PAB-dependent poly(A)-specific ribonuclease subunit PAN3 {ECO:0000255|HAMAP-Rule:MF_03181}, PAB1P-dependent poly(A)-nuclease {ECO:0000255|HAMAP-Rule:MF_03181}, PAN deadenylation complex subunit 3 {ECO:0000255|HAMAP-Rule:MF_03181}, hPan3, PAN3 {ECO:0000255|HAMAP-Rule:MF_03181} -
应用:
WB,IHC-P,FCM -
反应种属:
Human -
抗体类型:
Primary antibody -
Swissprot:
Q58A45 -
规格:
-
数量:
-+ -
说明书:
目录价¥1980

Rabbit Polyclonal Antibody to PAN3 (C-term)
Description |
---|
PAN3 is functions in cytoplasmic mRNA decay. It is as part of the Pan nuclease complex, recruits polyadenylate-binding protein which in turn stimulates PAN2 nuclease activity. |
Specification |
|
---|---|
Aliases | PAB-dependent poly(A)-specific ribonuclease subunit PAN3 {ECO:0000255|HAMAP-Rule:MF_03181}, PAB1P-dependent poly(A)-nuclease {ECO:0000255|HAMAP-Rule:MF_03181}, PAN deadenylation complex subunit 3 {ECO:0000255|HAMAP-Rule:MF_03181}, hPan3, PAN3 {ECO:0000255|HAMAP-Rule:MF_03181} |
Entrez GeneID | 255967 |
Swissprot | Q58A45 |
WB Predicted band size | 95.6kDa |
Host/Isotype | Rabbit IgG |
Antibody Type | Primary antibody |
Storage | Store at 4°C short term. Aliquot and store at -20°C long term. Avoid freeze/thaw cycles. |
Species Reactivity | Human |
Immunogen | This PAN3 antibody is generated from rabbits immunized with a KLH conjugated synthetic peptide between 771-799 amino acids from the C-terminal region of human PAN3. |
Formulation | Purified antibody in PBS with 0.05% sodium azide. |
Application |
|
---|---|
WB | 1/1000 |
IHC | 1/100-1/500 |
FCM | 1/10-1/50 |
Product Image
- Western blot analysis of PAN3 Antibody (C-term) (Cat. #P30612) in Jurkat cell line lysates (35ug/lane). PAN3 (arrow) was detected using the purified Pab.
- PAN3 Antibody (C-term) (Cat. #P30612) flow cytometric analysis of Jurkat cells (right histogram) compared to a negative control cell (left histogram).FITC-conjugated goat-anti-rabbit secondary antibodies were used for the analysis.
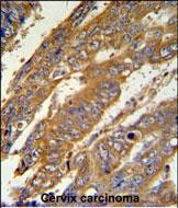
- PAN3 Antibody (C-term) (Cat. #P30612) IHC analysis in formalin fixed and paraffin embedded human cervix carcinoma followed by peroxidase conjugation of the secondary antibody and DAB staining. This data demonstrates the use of the PAN3 Antibody (C-term) for immunohistochemistry. Clinical relevance has not been evaluated.
For Reseach Only
Application Key:WB - Western Blot | IHC - Immunohistochemistry | ICC - Immunocytochemistry | FCM - Flow Cytometry | ELISA - Enzyme-linked Immunosorbent Assay | IP - Immunoprecipitation
#P30612

相关产品


