提醒成功

搜索
Mouse Monoclonal Antibody to NT5E
-
货号:
30614 -
别名:
NT; eN; NT5; NTE; eNT; CD73; E5NT; CALJA -
应用:
WB,IHC,FCM -
反应种属:
Human,Mouse,Rat,Rabbit -
抗体类型:
Primary antibody -
Swissprot:
P21589 -
规格:
-
数量:
-+ -
说明书:
目录价¥2180

Mouse Monoclonal Antibody to NT5E
Description |
---|
The protein encoded by this gene is a plasma membrane protein that catalyzes the conversion of extracellular nucleotides to membrane-permeable nucleosides. The encoded protein is used as a determinant of lymphocyte differentiation. Defects in this gene can lead to the calcification of joints and arteries. Two transcript variants encoding different isoforms have been found for this gene. |
References |
---|
1. Appl Immunohistochem Mol Morphol. 2012 Mar;20(2):103-7. 2. J Surg Oncol. 2012 Aug 1;106(2):130-7. |
Specification |
|
---|---|
Aliases | NT; eN; NT5; NTE; eNT; CD73; E5NT; CALJA |
Entrez GeneID | 4907 |
Swissprot | P21589 |
clone | 4G6E3 |
WB Predicted band size | 63.4kDa |
Host/Isotype | Mouse IgG1 |
Antibody Type | Primary antibody |
Storage | Store at 4°C short term. Aliquot and store at -20°C long term. Avoid freeze/thaw cycles. |
Species Reactivity | Human,Mouse,Rat,Rabbit |
Immunogen | Purified recombinant fragment of human NT5E (AA: 30-250) expressed in E. Coli. |
Formulation | Purified antibody in PBS with 0.05% sodium azide. |
Application |
|
---|---|
WB | 1/500 - 1/2000 |
IHC | 1/200 - 1/1000 |
FCM | 1/200 - 1/400 |
ELISA | 1/10000 |
Product Image
- Black line: Control Antigen (100 ng); Purple line: Antigen(10ng); Blue line: Antigen (50 ng); Red line: Antigen (100 ng);
- Western blot analysis using NT5E mouse mAb against A431 cell lysate.
- Flow cytometric analysis of A431 cells using NT5E mouse mAb (green) and negative control (red).
- Immunohistochemical analysis of paraffin-embedded human endometrial cancer tissues using NT5E mouse mAb with DAB staining.
- Immunohistochemical analysis of paraffin-embedded human esophageal cancer tissues using NT5E mouse mAb with DAB staining.
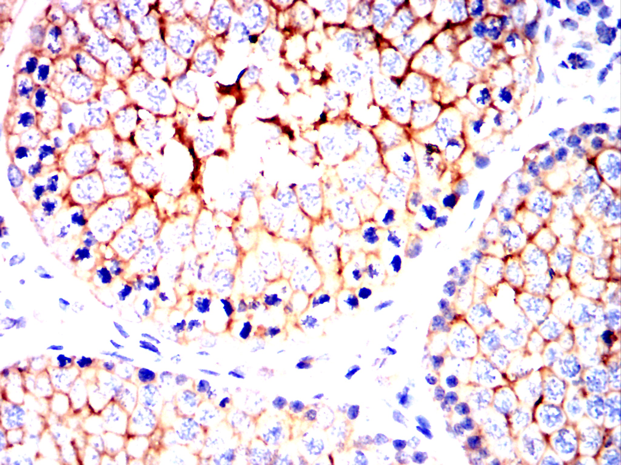
- Immunohistochemical analysis of paraffin-embedded Mouse testis using NT5E mouse mAb with DAB staining.
- Immunohistochemical analysis of paraffin-embedded Rat kidney using NT5E mouse mAb with DAB staining.
- Immunohistochemical analysis of paraffin-embedded Rabbit testis using NT5E mouse mAb with DAB staining.
- Immunohistochemical analysis of paraffin-embedded Rabbit spleen using NT5E mouse mAb with DAB staining.
For Reseach Only
Application Key:WB - Western Blot | IHC - Immunohistochemistry | ICC - Immunocytochemistry | FCM - Flow Cytometry | ELISA - Enzyme-linked Immunosorbent Assay | IP - Immunoprecipitation
#30614

相关产品


