提醒成功
搜索
Rabbit Polyclonal Antibody to MRAP (N-term)
-
货号:
P30597 -
别名:
Melanocortin-2 receptor accessory protein, B27, Fat cell-specific low molecular weight protein, Fat tissue-specific low MW protein, MRAP, C21orf61, FALP -
应用:
WB,IHC-P,FCM -
反应种属:
Human -
抗体类型:
Primary antibody -
Swissprot:
Q8TCY5 -
规格:
-
数量:
-+ -
说明书:
目录价¥1980
Rabbit Polyclonal Antibody to MRAP (N-term)
Description |
|---|
MRAP encodes a melanocortin receptor-interacting protein. The encoded protein regulates trafficking and function of the melanocortin 2 receptor in the adrenal gland. The encoded protein can also modulate signaling of other melanocortin receptors. Mutations in this gene have been associated with familial glucocorticoid deficiency type 2. |
Specification |
|
|---|---|
| Aliases | Melanocortin-2 receptor accessory protein, B27, Fat cell-specific low molecular weight protein, Fat tissue-specific low MW protein, MRAP, C21orf61, FALP |
| Entrez GeneID | 56246 |
| Swissprot | Q8TCY5 |
| WB Predicted band size | 19.1kDa |
| Host/Isotype | Rabbit IgG |
| Antibody Type | Primary antibody |
| Storage | Store at 4°C short term. Aliquot and store at -20°C long term. Avoid freeze/thaw cycles. |
| Species Reactivity | Human |
| Immunogen | This MRAP antibody is generated from rabbits immunized with a KLH conjugated synthetic peptide between 7-36 amino acids from the N-terminal region of human MRAP. |
| Formulation | Purified antibody in PBS with 0.05% sodium azide. |
Application |
|
|---|---|
| WB | 1/1000 |
| IHC | 1/100-1/500 |
| FCM | 1/10-1/50 |
Product Image
- Western blot analysis of MRAP Antibody (N-term) (Cat. #P30597) in 293 cell line lysates (35ug/lane). MRAP (arrow) was detected using the purified Pab.
- MRAP Antibody (N-term) (Cat. #P30597) flow cytometric analysis of 293 cells (right histogram) compared to a negative control cell (left histogram).FITC-conjugated goat-anti-rabbit secondary antibodies were used for the analysis.
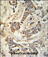
- MRAP Antibody (N-term) (Cat. #P30597) IHC analysis in formalin fixed and paraffin embedded breast carcinoma followed by peroxidase conjugation of the secondary antibody and DAB staining. This data demonstrates the use of the MRAP Antibody (N-term) for immunohistochemistry. Clinical relevance has not been evaluated.
For Reseach Only
Application Key:WB - Western Blot | IHC - Immunohistochemistry | ICC - Immunocytochemistry | FCM - Flow Cytometry | ELISA - Enzyme-linked Immunosorbent Assay | IP - Immunoprecipitation
#P30597
相关产品

微信/QQ登录


首页
