提醒成功

搜索
Rabbit Polyclonal Antibody to CLM1 (N-term)
-
货号:
P30590 -
别名:
CMRF35-like molecule 1, CLM-1, CD300 antigen-like family member F, Immune receptor expressed on myeloid cells 1, IREM-1, Immunoglobulin superfamily member 13, IgSF13, NK inhibitory receptor, CD300f, CD300LF, CD300F, CLM1, IGSF13, IREM1, NKIR -
应用:
WB,IHC-P -
反应种属:
Human -
抗体类型:
Primary antibody -
Swissprot:
Q8TDQ1 -
规格:
-
数量:
-+ -
说明书:
目录价¥1980

Rabbit Polyclonal Antibody to CLM1 (N-term)
Description |
---|
CLM1 is an inhibitory receptor of the Ig superfamily expressed on myeloid cells. It mediates negative regulatory signals by recruiting SHP1 (PTPN6; MIM 176883) or SHIP. |
Specification |
|
---|---|
Aliases | CMRF35-like molecule 1, CLM-1, CD300 antigen-like family member F, Immune receptor expressed on myeloid cells 1, IREM-1, Immunoglobulin superfamily member 13, IgSF13, NK inhibitory receptor, CD300f, CD300LF, CD300F, CLM1, IGSF13, IREM1, NKIR |
Entrez GeneID | 146722 |
Swissprot | Q8TDQ1 |
WB Predicted band size | 32.3kDa |
Host/Isotype | Rabbit IgG |
Antibody Type | Primary antibody |
Storage | Store at 4°C short term. Aliquot and store at -20°C long term. Avoid freeze/thaw cycles. |
Species Reactivity | Human |
Immunogen | This CLM1 antibody is generated from rabbits immunized with a KLH conjugated synthetic peptide between 56-84 amino acids from the N-terminal region of human CLM1. |
Formulation | Purified antibody in PBS with 0.05% sodium azide. |
Application |
|
---|---|
WB | 1/1000 |
IHC | 1/100-1/500 |
Product Image
- Western blot analysis of CLM1 Antibody (N-term) (Cat. #P30590) in K562 cell line lysates (35ug/lane). CLM1 (arrow) was detected using the purified Pab.
- CLM1 Antibody (N-term) (Cat. #P30590) flow cytometric analysis of K562 cells (right histogram) compared to a negative control cell (left histogram).FITC-conjugated goat-anti-rabbit secondary antibodies were used for the analysis.
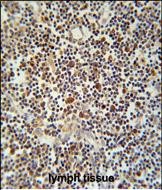
- CLM1 Antibody (N-term) (Cat. #P30590) immunohistochemistry analysis in formalin fixed and paraffin embedded human lymph tissue followed by peroxidase conjugation of the secondary antibody and DAB staining. This data demonstrates the use of the CLM1 Antibody (N-term) for immunohistochemistry. Clinical relevance has not been evaluated.
For Reseach Only
Application Key:WB - Western Blot | IHC - Immunohistochemistry | ICC - Immunocytochemistry | FCM - Flow Cytometry | ELISA - Enzyme-linked Immunosorbent Assay | IP - Immunoprecipitation
#P30590

相关产品


